The MonoRabTM technology from GenScript, a world leader in creating custom mAbs, can produce a large amount of high-quality rabbit mAbs to increase the likelihood of finding the right ones for the particular research application.
GenScript’s sophisticated, proprietary rabbit mAb discovery technology involves the isolation and cloning of rabbit B cells, and it capitalizes on the rabbit’s innate capability to produce high-specificity, high-affinity mAbs against a broad range of challenging targets, including small molecules, Ab drugs, and even non-immunogenic antigens in mice.
How GenScript maximizes success
- Identifying top mAbs for application by experimenting with them in-house
- Deliveries with a high clone number and industry-leading processing times
- Dedicated PhD-level project managers and 24-hour technical assistance
Method
MonoRabTM is a comprehensive antibody generation solution that leverages GenScript’s significant experience in rabbit mAb discovery. GenScript can manufacture many varied, high-affinity rabbit mAbs against the target antigen using their proprietary immunization and B cell cloning technology, with industry-leading turnaround times and extremely competitive pricing.

Image Credit: GenScript
Service details
GenScript provides extensive antigen design and production services in addition to creating a MonoRabTM package that is particularly customized to user requirements.
Table 1. Source: GenScript
| Phase |
Description |
Timeline |
Deliverables |
| I) Animal Immunization |
4 rabbits (express or conventional immunization) |
Express: 5 - 6 weeks
Conventional: 8 - 10 weeks |
- Antiserum report
- Small-scale pAb purification (optional)
|
| II) B Cell Cloning and Screening |
1 round of B cell cloning |
3 weeks |
- Positive clones report
- 1 ml B cell supernatant delivery, up to 50 clones (optional)
Additional screening and increased clone number delivery options available |
| III) Antibody Sequencing & Small Scale Transfection |
Sequencing of 5 customer-selected clones, followed by small-scale rAb expression |
3 weeks |
- Sequence reports
- Up to 5 rAb supernatants (2 ml), or purified rAb (0.1 mg)
Additional sequencing and supernatant delivery options available |
| IV) Recombinant Antibody Production |
Scalable expression of selected recombinant rabbit mAbs |
3 weeks |
- Sequencing report
- Purified antibody
|
Case studies
Case study: Evaluation of SARS-CoV-2 Spike Protein Extracellular Domain rabbit mAbs generated using MonoRab™
SARS-CoV-2 ECD rabbit mAbs display high affinity
Table 2. Source: GenScript
| Antigen |
Rabbit mAb Clone ID |
ka (1/Ms) |
kd (1/s) |
KD (M) |
| S-ECD |
2F8 |
2.55E+05 |
1.00E-06 |
3.92E-12 |
| S-ECD |
3B4 |
2.46E+05 |
5.76E-04 |
2.34E-09 |
| S-ECD |
5D10 |
9.04E+04 |
1.40E-06 |
1.54E-11 |
| S-ECD |
2F6 |
1.71E+05 |
2.84E-05 |
1.66E-10 |
| S-ECD |
3C4 |
3.31E+04 |
1.00E-06 |
3.02E-11 |

Image Credit: GenScript
Epitope binning data additionally shows high rabbit mAb diversity
Table 3. Source: GenScript
| # |
Rabbit mAb Clone ID |
EC50 (ng/ml) |
Epitope |
| 1 |
3B4 |
1.145 |
Epitope 6 |
| 2 |
2F6 |
1.354 |
Epitope 2 |
| 3 |
5D10 |
2.198 |
Epitope 12 |
| 4 |
3D5 |
2.402 |
Epitope 7 |
| 5 |
3C4 |
2.796 |
Epitope 4 |
| 6 |
2F8 |
3.029 |
Epitope 3 |
| 7 |
2G4 |
4.523 |
Epitope 5 |
| 8 |
5F7 |
4.63 |
Epitope 4 |
| 9 |
5E4 |
6.144 |
Epitope 3 |
| 10 |
5H7 |
6.727 |
Epitope 13 |
| 11 |
2F12 |
7.182 |
Epitope 4 |
| 12 |
3F4 |
7.723 |
Epitope 13 |
| 13 |
5A10 |
8.13 |
Epitope 14 |
| 14 |
3E5 |
8.327 |
Epitope 8 |
| 15 |
5C9 |
11.873 |
Epitope 13 |
| 16 |
2.00E+12 |
12.253 |
Epitope 1 |

Image Credit: GenScript
Additional MonoRab™ case studies

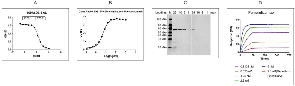
A The cross reactivity rate of GenScript produced anti-Ractopamine (small molecule) rabbit mAb is 0.0304%, showing low cross reactivity rates with similar compounds. B GenScript produced anti-idiotype rabbit mAb 90G12F8 binds with Pembrolizumab (mAb drug) with an EC50 of 5.001 ng/ml as shown via ELISA. C Genscript produced N-Terminal anti-flag-tag rabbit (section 1) mAb shows higher specificity and affinity than those produced in mouse (section 2) as shown via western blot. D GenScript produced anti-idiotype rabbit mAb 90G12F8 has a KD value of 2.3 × 10 -12 M against the antibody drug (Pembrolizumab) as shown via ELISA. Image Credit: GenScript
Resources
Why rabbit?
The superior immune system of rabbits enables them to produce antibodies with more sensitivity, specificity, affinity, and diversity than those produced by more often employed model species.

Image Credit: GenScript
Applications
Basic research
Non-rabbit mAbs frequently fail to identify challenging antigens (Ags), such as small molecules, Ags with post-transcriptionally modified Ags, highly identical epitopes, and Ags with no immunogenicity in mice. They also seem to have rigorous optimization procedures to function in specific applications, which may have an impact on the total efficacy of the experiment and the interpretation of the results.

ELISA. Image Credit: GenScript

Immunohistochemistry (IHC). Image Credit: GenScript

FACS. Image Credit: GenScript
Diagnostics
In vitro diagnostics (IVD): A range of IVD assays, such as ELISA, IHC, and radio immunoassays (RI), are centered on antigen–antibody binding principles. Considering the important role these assays play in patient and animal care, it is vital that IVD assays use the most sensitive and affinity mAbs available.
In vivo imaging: There are several ways to visualize mAbs. However, the most common strategy is to label mAbs with radioactive or fluorescent molecules to trace them in the body and evaluate the results.

In Vitro Diagnostics (IVD). Image Credit: GenScript

In Vivo Imaging. Image Credit: GenScript
Therapeutics
Anti-idiotype antibodies: Pharmacokinetic (PK) assays are employed to assess the distribution, half-life, and rates of absorption and excretion of potential small molecule or mAb therapies.
The results of these assays aid in determining the appropriate dose and the toxicity issues of a therapeutic molecule. As a result, anti-idiotype antibodies must be sensitive enough to detect tiny levels of their antibody target in bodily fluid samples in free, bound, and total forms.
mAb therapeutics: Since an antibody has a high degree of specificity to its target antigen, it decreases both safety and toxicity issues: Extremely specific antibodies limit off-target binding and provide safety. Highly sensitive antibodies necessitate low dosage administration and cause minimal toxicity.

Anti-idiotype Antibody. Image Credit: GenScript

CAR-T mAb Based Therapeutic. Image Credit: GenScript
Content
MonoRab™ upgrade
Introducing the latest state-of-the-art developments to the MonoRab™ rabbit mAb generation platform.
MonoRab™ Upgrade - GenScript
Video Credit: GenScript
Feature in “The Scientist”
Introduction to GenScript’s Premier Rabbit mAb Generation platform.
Supplier Insider: Genscript
Video Credit: GenScript
GenScript webinar
Rabbit monoclonal antibodies in tissue diagnostics.
Webinar - Rabbit Monoclonal Antibodies in Tissue Diagnostics
Video Credit: GenScript
MonoRab B-cell cloning
MonoRab currently employs a novel B cell cloning strategy for antibody development, yielding high affinity, target-specific monoclonal antibodies.
MAb
Video Credit: GenScript