Rotavirus News and Research

Latest Rotavirus News and Research

Spraying disinfectants on streets can be harmful, WHO warns

Spraying disinfectants on streets can be harmful, WHO warns

Drugmakers tout COVID-19 vaccines to refurbish their public image

Drugmakers tout COVID-19 vaccines to refurbish their public image

Rotavirus infection mainly affects children under 5 years of age

Rotavirus infection mainly affects children under 5 years of age

Rotavirus vaccination leads to a decrease in hospitalizations and deaths of children

Rotavirus vaccination leads to a decrease in hospitalizations and deaths of children

Universal childhood vaccination could prevent antimicrobial resistance

Universal childhood vaccination could prevent antimicrobial resistance

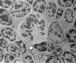
Researchers discover unique structure and function of rotavirus VP3 protein

Researchers discover unique structure and function of rotavirus VP3 protein

Stanford scientists describe potential transmission pathways of COVID-19

Stanford scientists describe potential transmission pathways of COVID-19

Rotavirus vaccination not linked to type 1 diabetes mellitus risk

Rotavirus vaccination not linked to type 1 diabetes mellitus risk

LSTM to host a high-level symposium ahead of major vaccine conference in London

LSTM to host a high-level symposium ahead of major vaccine conference in London

UMSOM research shows even milder cases of diarrheal diseases can lead to child mortality

UMSOM research shows even milder cases of diarrheal diseases can lead to child mortality

Maternal microbiota is a source of newborn immunity, shows study

Maternal microbiota is a source of newborn immunity, shows study

Early-life disruption to lymphotoxin pathway in mice can compromise adult immunity to rotavirus

Early-life disruption to lymphotoxin pathway in mice can compromise adult immunity to rotavirus

Tulane virus needs intracellular calcium to replicate

Tulane virus needs intracellular calcium to replicate

Rotavirus plays role in development of type 1 diabetes

Rotavirus plays role in development of type 1 diabetes

Rotavirus infection may play a role in type 1 diabetes development

Rotavirus infection may play a role in type 1 diabetes development

UMSOM receives landmark contract from NIAID for influenza research

UMSOM receives landmark contract from NIAID for influenza research

Study defines how diarrhea-causing rotavirus initially interacts with the host

Study defines how diarrhea-causing rotavirus initially interacts with the host

Number of fully-immunized Australian kids hits record high

Number of fully-immunized Australian kids hits record high

New strategy may strengthen gut-brain communication

New strategy may strengthen gut-brain communication

Study finds lower risk of Type 1 diabetes in children vaccinated against 'stomach flu' virus

Study finds lower risk of Type 1 diabetes in children vaccinated against 'stomach flu' virus

While we only use edited and approved content for Azthena answers, it may on occasions provide incorrect responses. Please confirm any data provided with the related suppliers or authors. We do not provide medical advice, if you search for medical information you must always consult a medical professional before acting on any information provided.

Your questions, but not your email details will be shared with OpenAI and retained for 30 days in accordance with their privacy principles.

Please do not ask questions that use sensitive or confidential information.

Read the full Terms & Conditions.