When Should You be Concerned about Bleeding Gums?

Why are bleeding gums important?
Which medical conditions may cause bleeding gums?
       Bleeding gums due to HIV infection
       Anemia-related bleeding gums
       Herpes infection
       Stress-induced bleeding gums
       Leukemia and gum cancer
       Deficiency of Factor V
Which dental diseases can cause bleeding gums?
       Gingivitis
       Periodontitis
       Bleeding gums during pregnancy
       Other conditions
How are bleeding gums treated?
References


Why are bleeding gums important?

Understanding the primary cause of bleeding gums can help to treat and cure the condition.

Coarse brushing, trauma, injury, gingivitis, or initial stages of periodontal gum disease could cause bleeding gums. Some symptoms which are usually observed in such conditions include:

  • Persistent halitosis or bad mouth odor
  • Painful gingival ulceration (gum sores)
  • Excessive gingival pain or discomfort
  • Inflamed gums and oral mucosa
  • Dental sensitivity

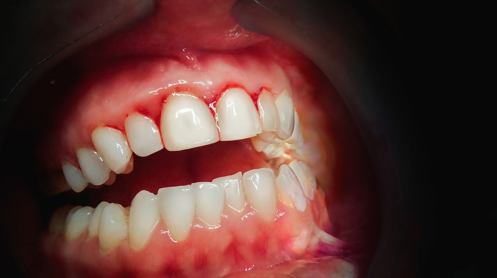
Bleeding Gums

Image Credit: Algirdas Gelazius/Shutterstock.com

Which medical conditions may cause bleeding gums?

Most of the time, it is challenging to recognize the exact cause of bleeding gums. However, underlying medical conditions should be ruled out. A list of various disorders requiring immediate medical treatment and whose manifestations could include bleeding gums include:

Bleeding gums due to HIV infection

HIV is a condition that results in serious infections due to a compromised immune system. This infection is transmitted via blood contact or having direct sexual contact with an HIV-positive individual or from an infected mother to the baby.

Various medical issues may arise following HIV infection. This includes dental problems such as bleeding gums and soreness in the oral cavity, including the tongue, lips, or mouth. However, this cause can be confirmed only by serologic testing.

Anemia-related bleeding gums

Anemia is a medical condition caused by the lack of red blood cells. One form of anemia is pernicious anemia, associated with Vitamin B12 malabsorption, which also causes bleeding from the gums.

Herpes infection

Herpes simplex virus infection can cause severe pain, soreness of the oral mucosa, and bleeding from the gums if involved.

Stress-induced bleeding gums

Stress may result in gingival inflammation, making the gums more susceptible to trauma. Stress also induces an immunosuppressed state, encouraging bacterial infection and inhibiting normal coagulation processes.

Leukemia and gum cancer

Oral cancer usually manifests in painless eruptions on the surface of the gums, the inner parts of the cheeks, or the tongue, often associated with gum bleeding.

Leukemia can also cause bleeding from the gums, producing immature or non-functional leukocytes and platelet deficiency. Other characteristic signs and symptoms include enlargement of the spleen, liver, and lymph nodes.

Deficiency of Factor V

Factor V deficiency is a bleeding disorder with typical symptoms like bleeding gums, bleeding underneath the skin surface, frequent bruising, or nose bleeds.  

Gum Disease

Image Credit: AlyonaZhitnaya/Shutterstock.com

Which dental diseases can cause bleeding gums?

Gingivitis

Gingivitis refers to inflammation of the gums and is associated with gum bleeding. However, this condition is treatable if diagnosed early. It is also preventable with proper oral hygiene. Risk factors for gingivitis should be ruled out. These include smoking, diabetes, periods of hormonal fluctuations, especially in females, and dry mouth.

Periodontitis

This condition can also cause bleeding gums and is one sequel of untreated gingivitis. This condition results in the loosening of the gum sockets around the teeth, which results in bleeding gums.

Bleeding gums during pregnancy

Pregnancy is a condition that is associated with hormonal fluctuations. Such hormonal changes may result in inflammation and sore gums. Good hygiene methods can prevent bleeding gums during this time. However, dental consultation is important to avoid complications if the condition flares up.

Other conditions

Some other conditions like deficiency of Vitamin C and Vitamin K can also cause bleeding gums. Gum trauma is one obvious cause of bleeding from the gums.

How are bleeding gums treated?

Understanding and eliminating the root cause of bleeding gums is fundamental to treatment. Appropriate dental treatment is mandatory if the gum bleeding is due to dental causes. However, if the root cause of bleeding gums is an underlying medical illness, this should be identified and treated.

Good oral hygiene methods will generally prevent the most typical causes of bleeding gums.

References:

Further Reading

Last Updated: Sep 19, 2023

Article Revisions

  • Aug 16 2022 - Article updated and expanded to offer a more detailed and comprehensive understanding of the subject matter. In addition, a table of contents with jump links was added.
Akshima Sahi

Written by

Akshima Sahi

Akshima is a registered dentist and seasoned medical writer from Dharamshala, India. Akshima is actively involved in educating people about the importance of good dental health. She examines patients and lends free counseling sessions. Taking her passion for medical writing ahead, her aim is to educate the masses about the value of good oral health.

Citations

Please use one of the following formats to cite this article in your essay, paper or report:

  • APA

    Sahi, Akshima. (2023, September 19). When Should You be Concerned about Bleeding Gums?. News-Medical. Retrieved on January 17, 2026 from https://www.intakehealthlab.com/health/Bleeding-Gums-When-to-be-Concerned.aspx.

  • MLA

    Sahi, Akshima. "When Should You be Concerned about Bleeding Gums?". News-Medical. 17 January 2026. <https://www.intakehealthlab.com/health/Bleeding-Gums-When-to-be-Concerned.aspx>.

  • Chicago

    Sahi, Akshima. "When Should You be Concerned about Bleeding Gums?". News-Medical. https://www.intakehealthlab.com/health/Bleeding-Gums-When-to-be-Concerned.aspx. (accessed January 17, 2026).

  • Harvard

    Sahi, Akshima. 2023. When Should You be Concerned about Bleeding Gums?. News-Medical, viewed 17 January 2026, https://www.intakehealthlab.com/health/Bleeding-Gums-When-to-be-Concerned.aspx.

Comments

The opinions expressed here are the views of the writer and do not necessarily reflect the views and opinions of News Medical.
Post a new comment
Post

While we only use edited and approved content for Azthena answers, it may on occasions provide incorrect responses. Please confirm any data provided with the related suppliers or authors. We do not provide medical advice, if you search for medical information you must always consult a medical professional before acting on any information provided.

Your questions, but not your email details will be shared with OpenAI and retained for 30 days in accordance with their privacy principles.

Please do not ask questions that use sensitive or confidential information.

Read the full Terms & Conditions.