Causes of Foot Pain

There are many possible causes of foot pain. Some of the most common causes, from foot injuries to arthritis, are described in this article.

Injuries

An injury to the foot is one of the most common causes of foot pain.

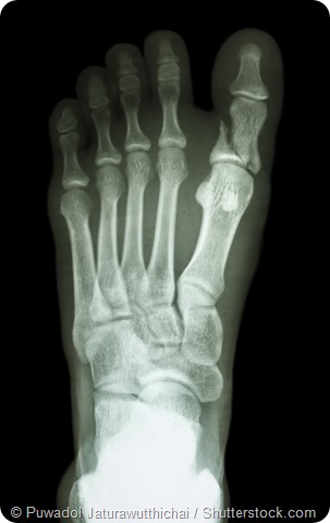
Fractured foot x-ray

X-ray showing fracture of proximal phalange at first toe

There are several types of foot injuries that may cause pain, including:

  • Sprains or strains: stretching or tearing of the ligaments in the foot leads to inflammation and tenderness.
  • Fractures: broken or cracked bones in the feet can be very painful.
  • Achilles tendon rupture or tendinitis: a torn or ruptured Achilles tendon in the heel leads to pain and stiffness in the heel.
  • Embedded objects: an object, such as a splinter or thorn, when lodged in a foot, can cause pain.

Sprains and strains commonly affect individuals who play sports. They usually occur with quick changes of direction or speed, or when an individual lands awkwardly on their feet. Injuries are also more common for people who spend long periods of time on their feet.

Gout

Gout is a type of arthritis that involves the formation of crystals in the body due to an excessively high concentration of uric acid in the blood. When these crystals form near the joints in the foot, it can cause severe foot pain and inflammation, which may last for several days.

How to Recognize Gout Symptoms | Foot Care

Verrucas

Also known as a wart, a verruca is a small white growth that can present on the feet. As they usually develop on the soles, they can be very painful during weight-bearing exercise such as walking or running.

Ill-fitting shoes

Shoes that do not properly fit the feet can cause damage to the skin and result in foot pain. Ill-fitting shoes may lead to the development of blisters, corns or calluses, which can be uncomfortable or painful, particularly when walking.

Bunions

A bunion is a bony growth that presents at the base of the big toe. This can make it difficult to fit shoes correctly. Foot pain can result from the bunion rubbing against footwear.

Bunion

Bunion in right foot.

Ingrown toenails

An ingrown toenail involves the growth of a toenail into the surrounding skin, which can be very painful. The nail can pierce the skin, causing inflammation and tenderness in the area. The toe may also become infected and lead to a build-up of pressure inside the toe, resulting in more severe pain.

Plantar fasciitis

Pain in the heel of the foot may be caused by plantar fasciitis, a condition involving damage to the fascia, the tissue under the sole. This commonly affects middle-aged people who spend long periods of time on their feet, particularly if they are overweight.

Morton’s neuroma

Morton’s neuroma involves the development of fibrous tissue around the nerves that run between the toes. This can lead to irritation and compression of the nerves, and severe burning foot pain can result.

Arthritis

Osteoarthritis and rheumatoid arthritis may also be responsible for causing foot pain. Osteoarthritis is more common and involves inflammation of the tissues around the joints in the foot, such as the ankles and toes. Rheumatoid arthritis involves an autoimmune response which damages the tissues surrounding the joints, which become inflamed and painful.

Edema

Swelling of the feet, known as edema, can cause foot pain. This involves a build-up of fluid in the feet and lower legs. In most cases, this can lead to discomfort or, in severe cases, actual pain.

Diabetic foot

Individuals with other medical conditions, such as diabetes, are more likely to experience foot problems and pain. Uncontrolled diabetes has the potential to damage the nerves and blood vessel in the feet, which can lead to neuropathic pain. This refers to the occurrence of tingling or odd sensations in the feet.

References

  1. http://www.nhs.uk/conditions/foot-pain/pages/introduction.aspx
  2. http://www.nhs.uk/conditions/heel-pain/Pages/Introduction.aspx
  3. https://medlineplus.gov/ency/article/003183.htm
  4. http://www.healthinaging.org/aging-and-health-a-to-z/topic:foot-problems/info:causes-and-symptoms/
  5. https://www.arthritis.org/

Further Reading

Last Updated: Jan 1, 2023

Yolanda Smith

Written by

Yolanda Smith

Yolanda graduated with a Bachelor of Pharmacy at the University of South Australia and has experience working in both Australia and Italy. She is passionate about how medicine, diet and lifestyle affect our health and enjoys helping people understand this. In her spare time she loves to explore the world and learn about new cultures and languages.

Citations

Please use one of the following formats to cite this article in your essay, paper or report:

  • APA

    Smith, Yolanda. (2023, January 01). Causes of Foot Pain. News-Medical. Retrieved on January 16, 2026 from https://www.intakehealthlab.com/health/Causes-of-Foot-Pain.aspx.

  • MLA

    Smith, Yolanda. "Causes of Foot Pain". News-Medical. 16 January 2026. <https://www.intakehealthlab.com/health/Causes-of-Foot-Pain.aspx>.

  • Chicago

    Smith, Yolanda. "Causes of Foot Pain". News-Medical. https://www.intakehealthlab.com/health/Causes-of-Foot-Pain.aspx. (accessed January 16, 2026).

  • Harvard

    Smith, Yolanda. 2023. Causes of Foot Pain. News-Medical, viewed 16 January 2026, https://www.intakehealthlab.com/health/Causes-of-Foot-Pain.aspx.

Comments

The opinions expressed here are the views of the writer and do not necessarily reflect the views and opinions of News Medical.
Post a new comment
Post

While we only use edited and approved content for Azthena answers, it may on occasions provide incorrect responses. Please confirm any data provided with the related suppliers or authors. We do not provide medical advice, if you search for medical information you must always consult a medical professional before acting on any information provided.

Your questions, but not your email details will be shared with OpenAI and retained for 30 days in accordance with their privacy principles.

Please do not ask questions that use sensitive or confidential information.

Read the full Terms & Conditions.

You might also like...
PFAS exposure linked to gestational diabetes and insulin problems