How is Shaken Baby Syndrome Diagnosed?

Shaken baby syndrome (SBS) is a condition that is recognized in infants who have been violently shaken. It is the leading cause of death in abused infants. Brain cells are easily destroyed by the forces generated during the shaking.

This sets in motion a series of events, namely hypoxia, edema, increased intracranial pressure, ischemia, and decreased cerebral perfusion pressure, which cause neurological dysfunction and in extreme cases death.

Affected infants may present with mild symptoms that may go unnoticed or be thought to be caused by other etiologies, such as viral illness or colic. Severe symptoms are recognized immediately following the trauma. Retinal and subdural hemorrhages are the clinical hallmarks of SBS.

Other associated symptoms include lethargy, vomiting, poor appetite, unconsciousness, convulsions, and coma. Affected infants may have an increased head circumference and bulging soft spots on the head. In addition to this, they may have bruises, signs of the abuse and thus, a team of various healthcare professionals are needed for definitive diagnosis.

Differential diagnosis

Nearly all infants, approximately ninety-five percent, who present with a grave intracranial injury are victims of being violently shaken. The remaining five percent may suffer injury as a result of accidents like motor vehicle crashes.

Rarely, birth injury may be the cause of an infant having chronic subdural hemorrhage. Medical problems that should be considered include arteriovenous malformations, infectious effusion, and connective tissue as well as bleeding disorders.

Chronic subdural hemorrhage may also be seen in very rare conditions, which cause subdural bleeding. For example, in glutaric aciduria type 1, there is an enlargement of the subdural spaces with corresponding stretching of bridging veins. These stretched vessels easily tear in response to even minimal trauma. Glutaric aciduria can be ruled out with the help of biochemical screening tests.

Assessment

It is not an easy task to detect or diagnose victims with SBS. However, SBS should be considered in any child or infant who collapses without an obvious cause. In order to avoid under-recognizing the condition, the threshold for suspicion must be held very low. It is imperative that healthcare workers take an extensive medical as well as social history from the caregivers of the infant. Follow-up investigations include imaging as well as laboratory and physical tests.

Investigations

Neuroimaging is a key technique in terms of diagnosing SBS. Intracranial pathologies such as cerebral edema and subdural and subarachnoid hemorrhage may be identified with the help of CT scans. These scans are usually the tool of choice in emergency situations.

In contrast, MRI scans may be performed a few days later to ascertain the extent of the neurological impairment. In very young children, ultrasound may also be used to detect intracranial hemorrhage.

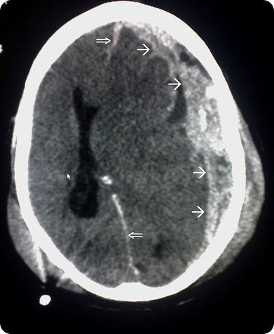
Head trauma CT scan

CT scan flowing head trauma, the single arrows mark the spread of the subdural haematoma and the double arrows mark the midline shift. Source: commons.wikimedia.org

Approximately 9 in every 10 infants with SBS will have retinal hemorrhages that are diffuse, bilateral, and multilayered. A further ocular pathology that may be seen includes papilledema.

Thus, ophthalmological examination is required to support a definitive diagnosis. Other laboratory tests such as a complete blood count, biochemical panels, cerebrospinal fluid examination, and urine cultures are all supportive when diagnosing SBS. Skeletal assessment must also be conducted in cases of suspected abuse.

References

  1. https://www.ncbi.nlm.nih.gov/pmc/articles/PMC1757926/pdf/v078p00732.pdf
  2. https://www.ncbi.nlm.nih.gov/pmc/articles/PMC3210040/
  3. http://www.uptodate.com/contents/child-abuse-eye-findings-in-children-with-abusive-head-trauma-aht
  4. http://www.uptodate.com/contents/child-abuse-evaluation-and-diagnosis-of-abusive-head-trauma-in-infants-and-children

Further Reading

Last Updated: Feb 27, 2019

Dr. Damien Jonas Wilson

Written by

Dr. Damien Jonas Wilson

Dr. Damien Jonas Wilson is a medical doctor from St. Martin in the Caribbean. He was awarded his Medical Degree (MD) from the University of Zagreb Teaching Hospital. His training in general medicine and surgery compliments his degree in biomolecular engineering (BASc.Eng.) from Utrecht, the Netherlands. During this degree, he completed a dissertation in the field of oncology at the Harvard Medical School/ Massachusetts General Hospital. Dr. Wilson currently works in the UK as a medical practitioner.

Citations

Please use one of the following formats to cite this article in your essay, paper or report:

  • APA

    Wilson, Damien Jonas. (2019, February 27). How is Shaken Baby Syndrome Diagnosed?. News-Medical. Retrieved on January 17, 2026 from https://www.intakehealthlab.com/health/How-is-Shaken-Baby-Syndrome-Diagnosed.aspx.

  • MLA

    Wilson, Damien Jonas. "How is Shaken Baby Syndrome Diagnosed?". News-Medical. 17 January 2026. <https://www.intakehealthlab.com/health/How-is-Shaken-Baby-Syndrome-Diagnosed.aspx>.

  • Chicago

    Wilson, Damien Jonas. "How is Shaken Baby Syndrome Diagnosed?". News-Medical. https://www.intakehealthlab.com/health/How-is-Shaken-Baby-Syndrome-Diagnosed.aspx. (accessed January 17, 2026).

  • Harvard

    Wilson, Damien Jonas. 2019. How is Shaken Baby Syndrome Diagnosed?. News-Medical, viewed 17 January 2026, https://www.intakehealthlab.com/health/How-is-Shaken-Baby-Syndrome-Diagnosed.aspx.

Comments

The opinions expressed here are the views of the writer and do not necessarily reflect the views and opinions of News Medical.

While we only use edited and approved content for Azthena answers, it may on occasions provide incorrect responses. Please confirm any data provided with the related suppliers or authors. We do not provide medical advice, if you search for medical information you must always consult a medical professional before acting on any information provided.

Your questions, but not your email details will be shared with OpenAI and retained for 30 days in accordance with their privacy principles.

Please do not ask questions that use sensitive or confidential information.

Read the full Terms & Conditions.