What Is Waldenström Macroglobulinemia?

Waldenström macroglobulinemia (WM) is a form of lymphoma characterized by the presence of large amounts of an antibody called macroglobulin. It is also called lymphoplasmacytic lymphoma. The built up of macroglobulin is responsible for the characteristic symptoms associated with WM.

The malignant cells present in WM show a marked resemblance to those seen in multiple myeloma and non-Hodgkin lymphoma. These cells have features of both plasma cells and lymphocytes, and are thus called lymphoplasmacytoid lymphomas.

The WM cells mainly proliferate in the bone marrow; the organ involved in the differentiation of blood cells. Abnormal growth of WM cells in the bone marrow leads to defects in the production of various blood cells. WM causes the decreased production of red blood cells, which subsequently leads to fatigue and tiredness – characteristic symptoms of anemia. Decreased production of white blood cells leads to the increased risk of infections, whereas a low number of platelets results in excessive bleeding.

Skip to

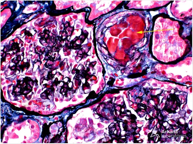
In this image of a combined silver-trichrome stain, the arrow points to the abnormal material within the arteriole lumen. This material was positive for IgM and showed kappa light chain restriction by immunofluorescence, supporting the diagnosis of paraprotein. Interestingly, this kidney biopsy was taken from an 81-year-old man with acute renal failure who had been diagnosed with Waldenström macroglobulinemia (his bone marrow biopsy showed involvement by lymphoplasmacytic lymphoma and he had a circulating IgM-kappa paraprotein). Image Credit: https://www.arkanalabs.com/
In this image of a combined silver-trichrome stain, the arrow points to the abnormal material within the arteriole lumen. This material was positive for IgM and showed kappa light chain restriction by immunofluorescence, supporting the diagnosis of paraprotein. Interestingly, this kidney biopsy was taken from an 81-year-old man with acute renal failure who had been diagnosed with Waldenström macroglobulinemia (his bone marrow biopsy showed involvement by lymphoplasmacytic lymphoma and he had a circulating IgM-kappa paraprotein). Image Credit: https://www.arkanalabs.com/

What are the signs and symptoms of Waldenström macroglobulinemia?

WM is predominantly seen in men aged 60 to 70 years (with higher prevalence among Caucasians) and presents with a variety of symptoms. The symptoms could be either organ related or immune related. In some cases, the patient may be asymptomatic and no treatment is required in such individuals.

Weight loss, fever, night sweats and fatigue are some common symptoms associated with WM. Neuropathy, lymphadenopathy or hepatosplenomegaly are also observed. In case of the latter condition (i.e. when WM cells invade liver and spleen), it may lead to inflammation and pain.

Accumulation of macroglobulin causes hyperviscosity syndrome, which leads to thickening of blood; which, in turn, leads to poor blood circulation to the brain. Likewise, amyloidosis or accumulation of amyloid (an abnormal protein) in heart and kidney can lead to serious complications.

Waldenstrom's macroglobulinemia - Mayo Clinic

How is Waldenström macroglobulinemia diagnosed?

WM is diagnosed by assessing the clinical and pathological features. Blood tests may be done to check the CBC (complete blood count). Protein electrophoresis can be used to detect increased levels of immunoglobulin M (IgM). Urinalysis can also be done to detect abnormal proteins in the body.

A biopsy can help to confirm the diagnosis. Biopsy is usually taken from the lymph nodes in the neck, arms, or the groin. Bone marrow aspiration can be performed to check whether the cancer has spread.

Molecular tests to detect mutation in the MYD88 gene can help to distinguish WM from other B-cell lymphomas. It is known that this gene promotes the survival and growth of WM cells, and can also be used for therapeutic purposes.

Imaging techniques such as computed tomography (CT) scan, magnetic resonance imaging (MRI) or positron emission tomography (PET) scan can be employed to take images and measure the size of the tumor

What are the treatment options for Waldenström macroglobulinemia?

Appropriate treatment strategy for WM is decided after the patient’s health, personal preferences, adverse effects and extent of disease are taken into account.

In patients with asymptomatic disease, watchful waiting or active surveillance is recommended. Plasmapheresis or plasma exchange is done to relieve hyperviscosity syndrome. In addition, systemic therapies (such as chemotherapy) can be used to kill the rapidly growing cancer cells.

Biological therapy such as immunotherapy can also be a valid treatment option. These agents use the patient’s immune system to fight cancer cells. Biological treatment drugs are also called biologics. They can be used either alone or in combination with other therapies, and are suitable for the initial stage of the disease or recurrent cases of WM. Recurrent forms are those which come back after an initial period of therapy. This malignancy can come back in the original location or can affect a new body part.

Targeted therapy with monoclonal antibodies can also be used to treat WM. These therapies are targeted towards specific cancer-causing proteins and are thus associated with less adverse effects. Finally, stem cell transplant may be an option; however, it is not suitable for everyone.

Last Updated: May 20, 2019

Citations

Please use one of the following formats to cite this article in your essay, paper or report:

  • APA

    NM, Ratan. (2019, May 20). What Is Waldenström Macroglobulinemia?. News-Medical. Retrieved on January 16, 2026 from https://www.intakehealthlab.com/health/What-Is-Waldenstrom-Macroglobulinemia.aspx.

  • MLA

    NM, Ratan. "What Is Waldenström Macroglobulinemia?". News-Medical. 16 January 2026. <https://www.intakehealthlab.com/health/What-Is-Waldenstrom-Macroglobulinemia.aspx>.

  • Chicago

    NM, Ratan. "What Is Waldenström Macroglobulinemia?". News-Medical. https://www.intakehealthlab.com/health/What-Is-Waldenstrom-Macroglobulinemia.aspx. (accessed January 16, 2026).

  • Harvard

    NM, Ratan. 2019. What Is Waldenström Macroglobulinemia?. News-Medical, viewed 16 January 2026, https://www.intakehealthlab.com/health/What-Is-Waldenstrom-Macroglobulinemia.aspx.

Comments

The opinions expressed here are the views of the writer and do not necessarily reflect the views and opinions of News Medical.
Post a new comment
Post

While we only use edited and approved content for Azthena answers, it may on occasions provide incorrect responses. Please confirm any data provided with the related suppliers or authors. We do not provide medical advice, if you search for medical information you must always consult a medical professional before acting on any information provided.

Your questions, but not your email details will be shared with OpenAI and retained for 30 days in accordance with their privacy principles.

Please do not ask questions that use sensitive or confidential information.

Read the full Terms & Conditions.