What is Aceruloplasminemia?

Aceruloplasminemia is a metabolic disorder characterized by excessive accumulation of iron in the brain and other organs of the body due to an enzyme deficiency. The disease is seen around the globe, but its overall prevalence is currently not known.

Skip to

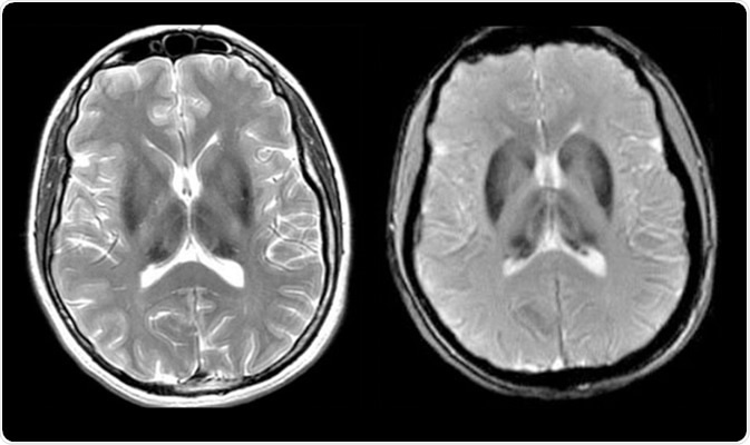
Aceruloplasminemia - Axial T2-weighted and axial GRE image demonstrates homogeneous iron deposition in caudate, putamen, globus pallidus and thalamus
Aceruloplasminemia - Axial T2-weighted and axial GRE image demonstrates homogeneous iron deposition in caudate, putamen, globus pallidus and thalamus. Image Credit: UNIFESP

What is aceruloplasminemia?

Aceruloplasminemia is a rare congenital disorder that causes iron to build-up in different organs of the body. The disease is inherited as an autosomal recessive manner, and the symptoms start appearing mostly in the adulthood.

People with aceruloplasminemia are at higher risk of developing anemia and diabetes at the age of 20. Anemia mainly results from excessive accumulation of iron in the organs and simultaneous deficiency of iron in the blood.

Moreover, iron-induced damage of the beta cells of the pancreas mainly leads to abnormal insulin secretion and diabetes. Some people also suffer from psychiatric disorders and dementia at the ages of 40 and 50.

What are the causative factors for aceruloplasminemia?

Aceruloplasminemia is mainly caused by mutations in CP gene that encodes a protein called ceruloplasmin. This protein is responsible for processing and transport of iron. The loss-of-function mutations in CP gene result in production of unstable/non-functional ceruloplasmin, leading to abnormal accumulation of iron.

What are the signs and symptoms of aceruloplasminemia?

The signs and symptoms of aceruloplasminemia vary from person to person. In most of the cases, primary symptoms include neurological disorders, retinal degeneration, and diabetes mellitus. Aceruloplasminemia patients who develop anemia generally suffer from fatigue, shortness of breathing, pale skin, etc.

Regarding neurological problems that are associated with brain iron build-up, people mostly experience tremors, jerking movements, involuntary contraction of the head and neck muscles, eyelid twitching, grimacing, impaired muscle coordination (ataxia), speech difficulty, and cognitive impairment. Locomotion-related symptoms of aceruloplasminemia are sometimes similar to Parkinson’s disease.

In some cases, excessive iron accumulation also induces tissue degeneration in the retina (usually in the form of yellow deposits found in the macular area). However, such condition is not associated with vision impairment/loss.

How is aceruloplasminemia diagnosed?

At first, the diagnosis of aceruloplasminemia is done by identifying and analyzing the characteristic symptoms and by obtaining a thorough family history of suspected patients. A variety of specialized tests are then employed to confirm the presence of the disease.

Regarding biochemical evaluation, blood tests are performed to detect the levels of ceruloplasmin, iron, ferritin, and copper in blood/serum. The copper, iron, and ferritin levels in aceruloplasminemia patients are generally estimated to be <10 µg/dl, <45 µg/dl, and 850-4,000 ng/ml, respectively.

The disease is further confirmed by magnetic resonance imaging (MRI) studies. The MRI is mainly used to generate cross-sectional images of different organs, especially brain and liver, to detect iron accumulation. In addition, genetic tests are done to identify and analyze the causative mutations in CP gene.

How is aceruloplasminemia treated?

Treatment of aceruloplasminemia is generally symptom-based. Patients are often treated with iron chelators that help dissolve excess iron in water and facilitate its excretion through the kidney. Patients should also avoid dietary substances that elevate iron level in the body.

Since the condition is related to diabetes, effective management of blood glucose levels through proper diet, antidiabetic tablets, and insulin injection is necessary for patients with aceruloplasminemia.

Another important treatment for aceruloplasminemia patients is repeated transfusions of fresh frozen human plasma along with iron chelators. This strategy help restore the normal amount of functional ceruloplasmin in the blood.

Patients are also supplemented with antioxidants together with iron chelators or oral zinc sulfate to protect tissues from iron-induced oxidative damage. Patients who suffer from excessive iron build-up in the liver are often treated with phlebotomy therapy, which is a method of removing blood from the body in order to reduce iron overload.

For proper disease management, doctors also recommend genetic counseling for the family members of affected individuals in order to adapt not only to medical implications of the disease, but also to potential psychological consequences.

Last Updated: Jan 18, 2023

Dr. Sanchari Sinha Dutta

Written by

Dr. Sanchari Sinha Dutta

Dr. Sanchari Sinha Dutta is a science communicator who believes in spreading the power of science in every corner of the world. She has a Bachelor of Science (B.Sc.) degree and a Master's of Science (M.Sc.) in biology and human physiology. Following her Master's degree, Sanchari went on to study a Ph.D. in human physiology. She has authored more than 10 original research articles, all of which have been published in world renowned international journals.

Citations

Please use one of the following formats to cite this article in your essay, paper or report:

  • APA

    Dutta, Sanchari Sinha Dutta. (2023, January 18). What is Aceruloplasminemia?. News-Medical. Retrieved on January 17, 2026 from https://www.intakehealthlab.com/health/What-is-Aceruloplasminemia.aspx.

  • MLA

    Dutta, Sanchari Sinha Dutta. "What is Aceruloplasminemia?". News-Medical. 17 January 2026. <https://www.intakehealthlab.com/health/What-is-Aceruloplasminemia.aspx>.

  • Chicago

    Dutta, Sanchari Sinha Dutta. "What is Aceruloplasminemia?". News-Medical. https://www.intakehealthlab.com/health/What-is-Aceruloplasminemia.aspx. (accessed January 17, 2026).

  • Harvard

    Dutta, Sanchari Sinha Dutta. 2023. What is Aceruloplasminemia?. News-Medical, viewed 17 January 2026, https://www.intakehealthlab.com/health/What-is-Aceruloplasminemia.aspx.

Comments

The opinions expressed here are the views of the writer and do not necessarily reflect the views and opinions of News Medical.
Post a new comment
Post

While we only use edited and approved content for Azthena answers, it may on occasions provide incorrect responses. Please confirm any data provided with the related suppliers or authors. We do not provide medical advice, if you search for medical information you must always consult a medical professional before acting on any information provided.

Your questions, but not your email details will be shared with OpenAI and retained for 30 days in accordance with their privacy principles.

Please do not ask questions that use sensitive or confidential information.

Read the full Terms & Conditions.

You might also like...
Parkinson’s disease may stem from iron starvation rather than iron overload