What is Sonohysterography?

Sonohysterography is a procedure used to visualize the presence of any lesions inside the uterine cavity. These may include lesions which cause abnormal bleeding through the vagina, as well as other problems likely to be caused by intrauterine abnormalities.

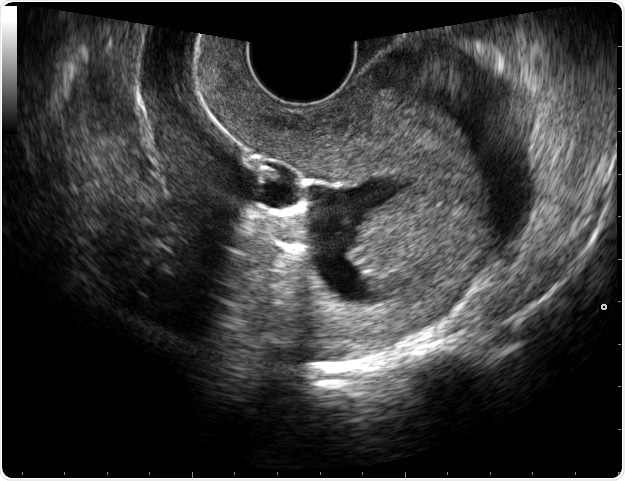
Sonohysterography. Sonohysterography is a technique to image the uterine cavity. Sterile saline is infused through a catheter to distend the uterine cavity. This allows seperation of contours of endometrium from the pathology. Attribution: © Nevit Dilmen
Sonohysterography. Sonohysterography is a technique to image the uterine cavity. Sterile saline is infused through a catheter to distend the uterine cavity. This allows seperation of contours of endometrium from the pathology. Attribution: © Nevit Dilmen

Indications

The indications to perform sonohysterography include:

  • Abnormal vaginal bleeding
  • Infertility
  • Potential lesions picked up on transvaginal ultrasound

Technique

Sonohysterography involves the use of sterile saline solution, instilled gently into the uterine cavity under the guidance of real-time ultrasound imaging through a small slender tube (such as a child’s feeding tube or other specialized catheters). It is performed during the follicular phase of the cycle to avoid disturbing an implanted pregnancy. Approximately 10 milliliters of saline is used.

Saline Sonogram Procedure

Results

Under normal circumstances, the saline distends the uterine cavity (the walls of which typically touch each other) to produce a narrow dark area on the screen, surrounded by a white stripe which represents the endometrium (the inner epithelial lining of the uterus) on both sides of the cavity.

Various lesions which disturb this symmetrical appearance may appear during this visualization, such as adhesions (when the uterine walls are stuck together by scar tissue) bridging the dark central area, polyps as hyperechoic (white) areas with a narrow attachment point on the uterine wall at one area, and endometrial thickening (with enlargement of the white stripe surrounding the dark central area).

The procedure is also useful to identify the location of fibroids, benign tumors of the uterine muscle. Fibroids arising just above the endometrium often bulge into the uterine cavity and can be seen to distort it while still being covered by the endometrial layer. Thus, lesions inside the cavity (in the endometrium and under the endometrium) can be clearly classified based on their location without exposing the patient to more intensive procedures such as CT or MRI scans.

Outcomes

Many studies have assessed the accuracy of saline infusions sonohysterography as compared to the gold standard, hysteroscopy, where the uterine cavity is visualized directly using a tiny camera introduced into the cervix, and as compared to transvaginal sonography. It was found to be superior as a screening tool to transvaginal ultrasound scanning in picking up intracavitary lesions, while being less expensive and invasive, but yielding greater accuracy of diagnosis.

The technique gives a clear image of the endometrial stripe, and thus not only helps confirm earlier abnormalities picked up by ultrasound, but detects others which were missed, and in turn provides a better idea of the type of lesion especially in women being evaluated for infertility. Thus it is a valuable addition to ultrasound imaging of the uterus.

Complications

Although sonohysterography is a cost-effective and safe procedure, it may entail certain complications such as failure to complete the imaging because of unwillingness on the part of the patient, intolerance to the pain of uterine distension caused by the small amount of saline infused, and vasovagal events such as nausea or fainting attacks. These reasons are found in about 7%, 4% and 3.5% of patients undergoing this procedure, respectively. However, sonohysterography is proven to be superior to hysterosalpingography, which used to be the standard first choice in evaluation of the uterine cavity, due to better accuracy and sensitivity in its results.

Further Reading

Last Updated: Feb 27, 2019

Dr. Liji Thomas

Written by

Dr. Liji Thomas

Dr. Liji Thomas is an OB-GYN, who graduated from the Government Medical College, University of Calicut, Kerala, in 2001. Liji practiced as a full-time consultant in obstetrics/gynecology in a private hospital for a few years following her graduation. She has counseled hundreds of patients facing issues from pregnancy-related problems and infertility, and has been in charge of over 2,000 deliveries, striving always to achieve a normal delivery rather than operative.

Citations

Please use one of the following formats to cite this article in your essay, paper or report:

  • APA

    Thomas, Liji. (2019, February 27). What is Sonohysterography?. News-Medical. Retrieved on January 17, 2026 from https://www.intakehealthlab.com/health/What-is-Sonohysterography.aspx.

  • MLA

    Thomas, Liji. "What is Sonohysterography?". News-Medical. 17 January 2026. <https://www.intakehealthlab.com/health/What-is-Sonohysterography.aspx>.

  • Chicago

    Thomas, Liji. "What is Sonohysterography?". News-Medical. https://www.intakehealthlab.com/health/What-is-Sonohysterography.aspx. (accessed January 17, 2026).

  • Harvard

    Thomas, Liji. 2019. What is Sonohysterography?. News-Medical, viewed 17 January 2026, https://www.intakehealthlab.com/health/What-is-Sonohysterography.aspx.

Comments

The opinions expressed here are the views of the writer and do not necessarily reflect the views and opinions of News Medical.
Post a new comment
Post

While we only use edited and approved content for Azthena answers, it may on occasions provide incorrect responses. Please confirm any data provided with the related suppliers or authors. We do not provide medical advice, if you search for medical information you must always consult a medical professional before acting on any information provided.

Your questions, but not your email details will be shared with OpenAI and retained for 30 days in accordance with their privacy principles.

Please do not ask questions that use sensitive or confidential information.

Read the full Terms & Conditions.