Advantages and Disadvantages of Electron Microscopy

Skip to:

Since the invention of the first prototype in the early 20th Century the electron microscope has allowed us to peer into the micromolecular world more deeply than ever.

Image of blood clot using a scanning electron microscope.

By firing a concentrated “beam” of electrons at a sample (either a thin cross-section in the case of transmission electron microscopy or a three dimensional sample in the case of scanning electron microscopy) in a vacuum, biological and chemical structures can be revealed in ever more clarity, and a number of variations on the main techniques have been developed in recent decades.

Eye of a fruit fly, Drosophila melanogaster, scanning electron microscopy  Image Credit: Heiti Paves / Shutterstock
Eye of a fruit fly, Drosophila melanogaster, scanning electron microscopy Image Credit: Heiti Paves / Shutterstock

As with any scientific technique or technology, it is not without its disadvantages, but it does have several advantages for the researcher using it. Some of these are listed below.

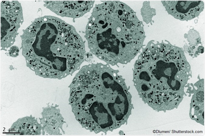
Image of human neutrophils using a transmission electron microscope.

Advantages of electron microscopy

Electron microscopy has several main advantages. These include:

  • Magnification and higher resolution – as electrons rather than light waves are used, it can be used to analyze structures which cannot otherwise be seen. The resolution of electron microscopy images is in the range of up to 0.2 nm, which is 1000x more detailed than light microscopy.
  • Diverse applications – Electron microscopy has a diverse range of applications in many different fields of research including technology, industry, biomedical science and chemistry. Examples of applications include semiconductor inspection, computer chip manufacture, quality control and assurance, analysis of atomic structures, and drug development.
  • High-quality images – With proper training, an electron microscope operator can use the system to produce highly detailed images of structures which are of a high quality, revealing complex and delicate structures that other techniques may struggle to reproduce.

Disadvantages of electron microscopy

However, there are several disadvantages which may mean that other techniques, especially light microscopy and super-resolution microscopy, are more advantageous to the researcher. These include:

  • Inability to analyze live specimens – As electrons are easily scattered by other molecules in the air, samples must be analyzed in a vacuum. This means that live specimens cannot be studied by this technique. This means that biological interactions cannot be properly observed, which limits the applications of electron microscopy in biological research.
  • Black and white images – Only black and white images can be produced by an electron microscope. Images must be falsely colorized.
  • Artefacts – These may be present in the image produced. Artefacts are left over from sample preparation and require specialized knowledge of sample preparation techniques to avoid.
  • Cost – Electron microscopes are expensive pieces of highly specialized equipment. As most projects have limited budgets, it may prove detrimental to use an electron microscope in the research. However, running costs can be similar to alternatives such as confocal light microscopes, so the investment in a basic electron microscope is still worth considering even if budgetary concerns are a major factor in decisions against utilizing the technology.
  • Size – Despite the advantages in technology over the years, electron microscopes are still large, bulky pieces of equipment which require plenty of space in a laboratory. Also, as electron microscopes are highly sensitive, magnetic fields and vibrations caused by other lab equipment may interfere with their operation. Consideration must be given to this if the researcher is looking to install an electron microscope in their laboratory.
  • Training – Specialist operators are required to operate electron microscopes, and these can undergo years of training to properly use this technology.

Electron microscopy: A highly useful analytical technique

These advantages and disadvantages must be carefully considered by researchers and project managers. However, electron microscopy is a highly useful analytical technique which remains at the forefront of scientific research and with the right training and use can produce results which no other technology available can.

Sources

Further Reading

Last Updated: Oct 22, 2019

Reginald Davey

Written by

Reginald Davey

Reg Davey is a freelance copywriter and editor based in Nottingham in the United Kingdom. Writing for AZoNetwork represents the coming together of various interests and fields he has been interested and involved in over the years, including Microbiology, Biomedical Sciences, and Environmental Science.

Citations

Please use one of the following formats to cite this article in your essay, paper or report:

  • APA

    Davey, Reginald. (2019, October 22). Advantages and Disadvantages of Electron Microscopy. News-Medical. Retrieved on January 16, 2026 from https://www.intakehealthlab.com/life-sciences/Advantages-and-Disadvantages-of-Electron-Microscopy.aspx.

  • MLA

    Davey, Reginald. "Advantages and Disadvantages of Electron Microscopy". News-Medical. 16 January 2026. <https://www.intakehealthlab.com/life-sciences/Advantages-and-Disadvantages-of-Electron-Microscopy.aspx>.

  • Chicago

    Davey, Reginald. "Advantages and Disadvantages of Electron Microscopy". News-Medical. https://www.intakehealthlab.com/life-sciences/Advantages-and-Disadvantages-of-Electron-Microscopy.aspx. (accessed January 16, 2026).

  • Harvard

    Davey, Reginald. 2019. Advantages and Disadvantages of Electron Microscopy. News-Medical, viewed 16 January 2026, https://www.intakehealthlab.com/life-sciences/Advantages-and-Disadvantages-of-Electron-Microscopy.aspx.

Comments

The opinions expressed here are the views of the writer and do not necessarily reflect the views and opinions of News Medical.
Post a new comment
Post

While we only use edited and approved content for Azthena answers, it may on occasions provide incorrect responses. Please confirm any data provided with the related suppliers or authors. We do not provide medical advice, if you search for medical information you must always consult a medical professional before acting on any information provided.

Your questions, but not your email details will be shared with OpenAI and retained for 30 days in accordance with their privacy principles.

Please do not ask questions that use sensitive or confidential information.

Read the full Terms & Conditions.

You might also like...
What happens when microplastics reach the testes? Study shows autophagy and cell loss