Automated extraction of plasmid DNA

 This article is based on a poster originally authored by Melanie Kelm et. al. 

Plasmid DNA can be used across an extensive range of applications. Therefore, ensuring the supply is purified in the right way is crucial for every given situation.

Analytik Jena‘s CyBio FeliX Liquid Handler facilitates the automatic isolation of transfection-quality plasmid DNA by way of applying a protocol for Promega‘s Wizard MagneSil Tfx custom-built system in 96-well format.

Automation can yield rapid results relatively easily without compromising the supply amount or purity of the plasmid DNA.

The study outlined in this article calls attention to the value of the Promega MagneSil Tfx System and Analytik Jena‘s CyBio FeliX for easy and reliable high-speed isolation of transfection-quality plasmid DNA in a 96-well high-throughput format.

Download the Poster

Introduction

Isolating plasmid DNA is a key molecular biology technique used for a number of downstream applications. While the multistep protocol is straightforward enough, it can be a laborious task prone to error. The Analytik Jena CyBio FeliX eliminates manual pipetting and accelerates the protocol’s processing time while limiting variability.

Utilizing Promega MagneSil® Paramagnetic Particles for lysate purification and DNA capture circumvents centrifugation and bypasses the vacuum manifold. This enables full automation of the DNA purification process using the Promega Wizard MagneSil Tfx System on the Analytik Jena CyBio FeliX.

For the purpose of the study outlined here, bacterial cells were harvested and separated via alkaline lysis of bacterial cells. Subsequently, magnetic beads were used to clarify the lysate for the separation stage. This produces plasmid DNA in nuclease-free water, which can be used for a range of molecular biology methods, including transfection and cloning.

Methods and results

JM109 E. coli bacteria were modified using pGL4.50 and cultivated overnight in Terrific Broth Medium (TB) or Luria Broth Medium (LB).

Bacterial cells from cultures were pelleted, and the supernatant was discarded.

Working plates with the plasmid extraction kit components were prepared and loaded onto the CyBio FeliX deck together with the required consumables according to the programmed automation script.

Automatic extraction was performed, and repeated purifications were subsequently carried out (n=23).

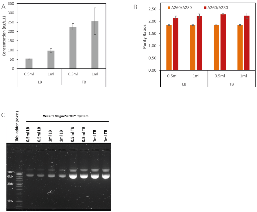
Concentrations and absorbance ratios (A260/A280 and A260/A230) were established using spectrophotometry methods (Figure 2A-B). Visualization of plasmid size was facilitated by gel electrophoresis (Figure 2C). Plasmid DNA was effectively purified from both 0.5 mL and 1 mL LB and TB bacterial cultures, correspondingly.

Deck layout for plasmid DNA purification on the CyBio FeliX Liquid Handler using the Wizard MagneSil Tfx™ System. Reagents are dispensed by the instrument from 4-column reservoirs, with the exception of Endotoxin Removal Resin and Elution Buffer which are pre-dispensed manually in the indicated deep well plates. (A) Reagent, labware, consumable and accessory positions for implementing the Wizard MagneSil Tfx™ System kit on the CyBio FeliX liquid handler. (B) CyBio FeliX instrument (Analytik Jena) with the ‘CyBio FeliX Extraction Set’, the MagnaBot® FLEX 96 Magnetic Separation Device (Promega) and Bioshake 3000-T elm (QInstruments) mounted with a Nunc® 2.0 mL heat plate adapter (QInstruments)

Figure 1. Deck layout for plasmid DNA purification on the CyBio FeliX Liquid Handler using the Wizard MagneSil Tfx System. Reagents are dispensed by the instrument from 4-column reservoirs, with the exception of Endotoxin Removal Resin and Elution Buffer which are pre-dispensed manually in the indicated deep well plates. (A) Reagent, labware, consumable and accessory positions for implementing the Wizard MagneSil Tfx System kit on the CyBio FeliX liquid handler. (B) CyBio FeliX instrument (Analytik Jena) with the ‘CyBio FeliX Extraction Set’, the MagnaBot® FLEX 96 Magnetic Separation Device (Promega) and Bioshake 3000-T elm (QInstruments) mounted with a Nunc® 2.0 mL heat plate adapter (QInstruments). Image Credit: Analytik Jena US

Concentrations, purity and agarose gel electrophoresis of plasmid DNA purified from bacteria using the Wizard MagneSil Tfx™ System on the CyBio FeliX Liquid Handler. Plasmid DNA was purified from both 0.5 mL and 1 mL overnight cultures in either TB or LB medium. (A) Plasmid DNA concentrations and (B) A260/A280 and A260/A230 absorbance ratios were measured spectrometically. The average values ± s tandard deviations of

Figure 2. Concentrations, purity and agarose gel electrophoresis of plasmid DNA purified from bacteria using the Wizard MagneSil Tfx™ System on the CyBio FeliX Liquid Handler. Plasmid DNA was purified from both 0.5 mL and 1 mL overnight cultures in either TB or LB medium. (A) Plasmid DNA concentrations and (B) A260/A280 and A260/A230 absorbance ratios were measured spectrometically. The average values ± standard deviations of n=23 replicate extractions are shown. (C) 10 μL of purified plasmid (0.5 mL or 1 mL of overnight bacterial cultures in either LB or TB medium, as indicated) were analyzed using a 0.8% agarose gel. A 1kb DNA Ladder was included as a size standard. Image Credit: Analytik Jena US

As anticipated, the extraction from the TB culture yielded a greater number of plasmids, which coincides with the densely packed overnight culture. The absorbance-purity ratio and gel electrophoresis demonstrated the high quality and purity of the plasmid DNA that had been purified.

Conclusion

Conclusively, this study shows how the plasmid DNA extraction method can be optimized when using Promega‘s Wizard MagneSil Tfx paramagnetic particles and Analytik Jena‘s CyBio FeliX liquid handler to generate a completely automated protocol for medium-throughput screening applications.

The Analytik Jena CyBio FeliX automates the isolation of transfection-quality plasmid DNA simply and quickly while also leveraging the Promega MagneSil Tfx System in a high-throughput 96-well format without adversely affecting the supply amount and purity of plasmid DNA.

Download the Poster

About Analytik Jena US

Analytik Jena is a provider of instruments and products in the areas of analytical measuring technology and life science. Its portfolio includes the most modern analytical technology and complete systems for bioanalytical applications in the life science area.

Comprehensive laboratory software management and information systems (LIMS), service offerings, as well as device-specific consumables and disposables, such as reagents or plastic articles, complete the Group’s extensive range of products.

About life science

The Life Science product area demonstrates the biotechnological competence of Analytik Jena AG. We provide a wide product spectrum for automated total, as well as individual solutions for molecular diagnostics. Our products are focused to offer you a quality and the reproducibility of your laboratory results.

This will surely ease your daily work and speed up your work processes in a certain way. All together we support you through the complete process of the lab work. Besides we offer customized solutions and are able to adapt our products to your needs. Automated high-throughput screening systems for the pharmaceutical sector are also part of this segment’s extensive portfolio.

About analytical instrumentation

Analytik Jena has a long tradition in developing high-performance precision analytical systems which dates back to the inventions made by Ernst Abbe and Carl Zeiss. We have grown to become one of the most innovative manufacturers of analytical measuring technology worldwide.

Our business unit Analytical Instrumentation offers excellent competencies in the fields of optical spectroscopy, sum parameters and elemental analysis. Being proud of our core competency we grant all our customers a long-term warranty of 10 years for our high-performance optics.

About lab automation

With more than 25 years of market experience, Analytik Jena with its CyBio® Product Line is a leading provider for high quality liquid handling and automation technologies. In the pharmaceutical and life science industries, our products enjoy the highest reputation for precision, reliability, robustness and simplicity.

Moreover, the Automation Team designs, produces and installs fully automated systems tailored to our clients' application, throughput and capacity requirements. From stand-alone CyBio® Well up to fully customized robotic systems we handle your compounds, biomolecules and cells with great care.


Sponsored Content Policy: News-Medical.net publishes articles and related content that may be derived from sources where we have existing commercial relationships, provided such content adds value to the core editorial ethos of News-Medical.Net which is to educate and inform site visitors interested in medical research, science, medical devices and treatments.

Last Updated: May 3, 2024

Citations

Please use one of the following formats to cite this article in your essay, paper or report:

  • APA

    Analytik Jena US. (2024, May 03). Automated extraction of plasmid DNA. News-Medical. Retrieved on January 16, 2026 from https://www.intakehealthlab.com/life-sciences/Automated-extraction-of-plasmid-DNA.aspx.

  • MLA

    Analytik Jena US. "Automated extraction of plasmid DNA". News-Medical. 16 January 2026. <https://www.intakehealthlab.com/life-sciences/Automated-extraction-of-plasmid-DNA.aspx>.

  • Chicago

    Analytik Jena US. "Automated extraction of plasmid DNA". News-Medical. https://www.intakehealthlab.com/life-sciences/Automated-extraction-of-plasmid-DNA.aspx. (accessed January 16, 2026).

  • Harvard

    Analytik Jena US. 2024. Automated extraction of plasmid DNA. News-Medical, viewed 16 January 2026, https://www.intakehealthlab.com/life-sciences/Automated-extraction-of-plasmid-DNA.aspx.

Comments

The opinions expressed here are the views of the writer and do not necessarily reflect the views and opinions of News Medical.
Post a new comment
Post

While we only use edited and approved content for Azthena answers, it may on occasions provide incorrect responses. Please confirm any data provided with the related suppliers or authors. We do not provide medical advice, if you search for medical information you must always consult a medical professional before acting on any information provided.

Your questions, but not your email details will be shared with OpenAI and retained for 30 days in accordance with their privacy principles.

Please do not ask questions that use sensitive or confidential information.

Read the full Terms & Conditions.