May 20 2009
A protein from algae may have what it takes to stop Severe Acute Respiratory Syndrome (SARS) infections, according to new research.
A recent study has found that mice treated with the protein, Griffithsin (GRFT), had a 100 percent survival rate after exposure to the SARS coronavirus (SARS-CoV), as compared to a 30 percent survival for untreated mice.
The research will be presented at the American Thoracic Society's 105th International Conference in San Diego on Wednesday, May 20.
Despite its dramatic entrance into the domain of worldwide public health threats in 2002, little headway has been made therapeutically toward preventing or treating SARS after infection. But GRFT, a lectin protein derived from algae, offers a new possible hope. GRFT is thought to exert its anti-viral effects by altering the shape of the sugar molecules that line the virus' envelope, allowing it to attach to and invade human cells, where it takes over the cells' reproductive machinery to replicate itself. Without that crucial ability, the virus is unable to cause disease. 
"While preliminary, these results are very exciting and indicate a possible therapeutic approach to future SARS or other coronaviral outbreaks," stated Christine Wohlford-Lenane, senior research assistant at the department of pediatrics University of Iowa and the lead author of the study.
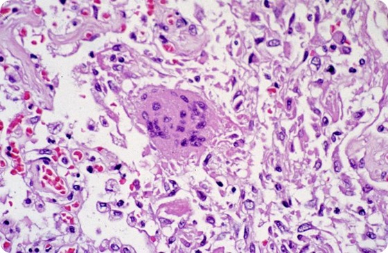
Researchers treated experimental mice with GRFT or a sham treatment and then inoculated them with the SARS virus. They analyzed the antiviral activity of GRFT and the extent to which the virus was able to invade and replicate in the mice at two, four and 10 days after infection. They found that mice who had not been treated with GRFT showed 20 times more plaque-forming units of virus than treated mice. They also noted that the lungs of untreated infected mice showed extensive necrotizing bronchitis and prominent edema, while mice treated with GRFT showed evidence of significantly less severe lung damage. Additionally, mice treated with GRFT did not experience the drastic weight loss of untreated mice, which lost 35 percent of their body mass.
"This indicates that not only did the GRFT stop the virus from replicating, but also prevented secondary outcomes, such as weight loss, that are associated with infection," said Ms. Wohlford-Lenane.
"We are planning future studies to investigate prophylaxis, versus treatment interventions with GRFT, in the SARS mouse model in collaboration with Barry O'Keefe at the National Cancer Institute," she concluded. "In addition, we want to learn whether mice protected from SARS by GRFT develop protective immunity against future infection."