Leica Microsystems to acquire OCT company Bioptigen

Integration of Optical Coherence Tomography (OCT) Opens up New Avenues for Ophthalmology and Life Science Research

Leica Microsystems, a global leader in microscopy and imaging systems, has signed a definitive agreement to acquire Bioptigen, Inc. to strengthen its position in the ophthalmology market. Bioptigen is a technology leader in the field of optical coherence tomography (OCT). The integration of OCT imaging into Leica Microsystems’ surgical microscopes will assist ophthalmologists during eye surgery.

Bioptigen develops and manufactures innovative OCT systems and software and is globally successful with products for clinical as well as translational research applications. Using low-power, near-infrared light, Bioptigen OCTs generate high-resolution, volumetric images of the eye. Bioptigen currently markets the FDA-cleared and CE-marked Envisu C2300 OCT for handheld, pediatric, and perioperative applications, and sells advanced ophthalmic OCT imaging systems for preclinical research globally.

OCT utilizes interferometry to create cross-sectional views of different types of tissue. This non-invasive technique is used to detect and monitor morphological changes of ocular tissue, in particular retinal layer thickness, which can give insight into pathological conditions such as glaucoma, age-related macular degeneration (AMD) or diabetic retinopathy.

Heinrich Dreyer, Vice President of Leica Microsystems’ Medical Division, says:

Adding Bioptigen’s OCT capabilities to our surgical microscopes directly addresses our customers’ requirement for better decision making tools. Bioptigen brings great products and expertise, and will be an important contributor to our growth in the ophthalmology market

Eric Buckland, CEO of Bioptigen, says:

We are delighted to join Leica Microsystems. Together, we believe we can jointly leverage our ophthalmic imaging technologies, address broader research and clinical markets, and more efficiently complete the next steps in integrating OCT imaging capabilities into the operating room

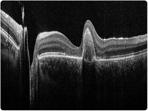
OCT image of human retina acquired with the Bioptigen Envisu C2300

Citations

Please use one of the following formats to cite this article in your essay, paper or report:

  • APA

    Leica Microsystems GmbH. (2019, June 18). Leica Microsystems to acquire OCT company Bioptigen. News-Medical. Retrieved on January 17, 2026 from https://www.intakehealthlab.com/news/20150602/Leica-Microsystems-to-acquire-OCT-company-Bioptigen.aspx.

  • MLA

    Leica Microsystems GmbH. "Leica Microsystems to acquire OCT company Bioptigen". News-Medical. 17 January 2026. <https://www.intakehealthlab.com/news/20150602/Leica-Microsystems-to-acquire-OCT-company-Bioptigen.aspx>.

  • Chicago

    Leica Microsystems GmbH. "Leica Microsystems to acquire OCT company Bioptigen". News-Medical. https://www.intakehealthlab.com/news/20150602/Leica-Microsystems-to-acquire-OCT-company-Bioptigen.aspx. (accessed January 17, 2026).

  • Harvard

    Leica Microsystems GmbH. 2019. Leica Microsystems to acquire OCT company Bioptigen. News-Medical, viewed 17 January 2026, https://www.intakehealthlab.com/news/20150602/Leica-Microsystems-to-acquire-OCT-company-Bioptigen.aspx.

Comments

The opinions expressed here are the views of the writer and do not necessarily reflect the views and opinions of News Medical.
Post a new comment
Post

While we only use edited and approved content for Azthena answers, it may on occasions provide incorrect responses. Please confirm any data provided with the related suppliers or authors. We do not provide medical advice, if you search for medical information you must always consult a medical professional before acting on any information provided.

Your questions, but not your email details will be shared with OpenAI and retained for 30 days in accordance with their privacy principles.

Please do not ask questions that use sensitive or confidential information.

Read the full Terms & Conditions.

You might also like...
Leica Microsystems and Imperial College London Launch the Leica and Imperial Imaging Hub