MILabs to provide Adaptive X-ray CT system to UAB for advancing pulmonary research

MILabs will provide an advanced U-CTUHR microCT system to the Cystic Fibrosis Research Center (CFRC) at the University of Alabama at Birmingham (UAB). This state-of the art Adaptive X-ray CT system is predicted to play an important role in advancing research programs centered on novel animal models of cystic fibrosis and COPD developed at UAB by providing superior resolution and unmatched tissue accessibility.

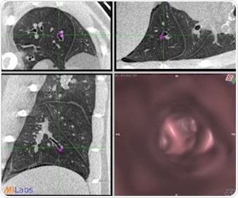
High-resolution detailed ferret CT-lung imaging with virtual endoscopy, see http://www.milabs.com/imaging-solutions/u-ct/ for movie.

The MILabs U-CTUHR system acquired by UAB is designed to meet a broad range of in vivo imaging research applications in variety of animals, ranging from very fast, high-resolution, low-dose bone, tissue and lung imaging, to high-quality dual-gated cardiac and pulmonary analysis. UAB will use the new MILabs U-CTUHR system mainly for evaluation of cystic fibrosis airways disease as well as COPD and pulmonary fibrosis and sinonasal studies.

Dr. Frederik J. Beekman, founder and CEO of MILabs B.V. confirms that the new X-ray CT system has been designed with both diagnostic CT excellence and application scalability in mind.  The ability to handle a wide variety of animal sizes and the potential of in-field upgrades to molecular CT were important design criteria.  “We are glad that such scalability has been a significant factor in UAB’s selection of the U-CTUHR system”.

The University of Alabama at Birmingham embodies a spirit of discovery that advances knowledge, solves real-world problems, and drives economic development. This is true within the School of Medicine which is made up of nearly 800 students and more than 900 residents and 1,400 full-time faculty in 26 academic departments and specialized programs.  CFRC housed within Division of Pulmonary, Allergy, and Critical Care Medicine is continually engaged in novel, groundbreaking, and highly innovative research. The research faculty ranks among the nation’s best funded and is noted for exceptional mentoring and training — from undergraduate researchers to post-doctoral fellows. Research and education programs are supported by over $10 million in sponsored research funds each year. The division’s outstanding faculty members have been consistently ranked among the top programs for respiratory disease in the nation by US News and World Report and Best Doctors in America. Clinical research programs participate in a number of national and international research network including the NIH-funded COPD and Pulmonary Fibrosis Networks, and the Cystic Fibrosis Foundation's Therapeutics Development Network.

Comments

The opinions expressed here are the views of the writer and do not necessarily reflect the views and opinions of News Medical.
Post a new comment
Post

Sign in to keep reading

We're committed to providing free access to quality science. By registering and providing insight into your preferences you're joining a community of over 1m science interested individuals and help us to provide you with insightful content whilst keeping our service free.

or

While we only use edited and approved content for Azthena answers, it may on occasions provide incorrect responses. Please confirm any data provided with the related suppliers or authors. We do not provide medical advice, if you search for medical information you must always consult a medical professional before acting on any information provided.

Your questions, but not your email details will be shared with OpenAI and retained for 30 days in accordance with their privacy principles.

Please do not ask questions that use sensitive or confidential information.

Read the full Terms & Conditions.

You might also like...
Research shows citrus and grape compounds may protect against type 2 diabetes