Breast milk protective against bacterial infections

A new study has found that the complex mixture of sugars, proteins and fats in mother’s milk possesses certain properties that can protect babies against bacterial infections like Streptococci too. Researchers from Vanderbilt University looked at the antibacterial properties of breast milk and found that the sugars in it have antibacterial properties and also work to enhance the antibacterial properties of the proteins in breast milk.

The results of this study were presented at the annual meeting of the American Chemical Society in Washington DC on 20th of August by a doctoral student Dorothy Ackerman. The paper was also published in the ACS Infectious Diseases journal in the latest issue entitled “Human Milk Oligosaccharides Exhibit Antimicrobial and Anti-Biofilm Properties Against Group B. Streptococcus".

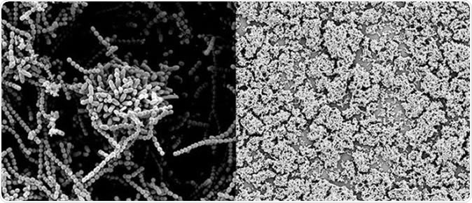
The close-up image on the left illustrates how Strep bacteria normally clump together to form a protective biofilm. The image of the right shows that the biofilm breaks down when a Strep culture is dosed with human milk sugars, exposing more of the bacteria to attack by antibacterial agents. (Steven Townsend / Vanderbilt)
The close-up image on the left illustrates how Strep bacteria normally clump together to form a protective biofilm. The image of the right shows that the biofilm breaks down when a Strep culture is dosed with human milk sugars, exposing more of the bacteria to attack by antibacterial agents. (Steven Townsend / Vanderbilt)

Assistant Professor of Chemistry Steven Townsend, who directed the study said that this was the first example of a study that looked at the antibacterial properties of human milk. He also explained that one of the best things about these antibiotics in human milk is that they are non-toxic – something that traditional antibiotics are not. Townsend added that the team was testing which bacterial group best responded to the antimicrobial properties of breast milk. Group B Strep was chosen for the purpose. It is one of the commonest causes of infections among newborns globally. The hot of these infections are the pregnant mothers. It could be because of that the mother’s body produces milk that can weaken or kill the streptococci bacteria , Townsend speculated.

The team did not look at the proteins in the milk fro antibacterial properties. Instead they looked at the sugars or the carbohydrate portions. This was much more difficult that protein isolation and study. Further proteins have been studied for decades now for their antibacterial properties in milk. Townsend said “sugars were an afterthought” in most of these earlier studies. The functions of the sugars and the glycoproteins (sugars combined with proteins) have been unexplored before this he explained.

For the study the team collected samples of human milk and isolated the carbohydrate parts of it called oligosaccharides termed human milk oligosaccharides or HMOs. The milk samples came from different donors. These oligosaccharides were then profiled with a mass spectrometry technique to help identify a large number of big biomolecules all at once. Once isolated, these compounds were then added to cultures of Streptococci. The effect of these sugars on the bacteria was studied under the microscope. Results showed that some of these oligosaccharides kill the bacteria directly. They also break down the biofilms or protective coats that the bacteria form around them.

As an initial test part of the study, only five samples were used. One of the samples contained sugars that almost killed the complete Strep culture. Another sample also showed moderate activity while three samples showed a lower level of activity. The team then went on to gather and test over 24 samples. Results revealed that of these, two broke the bacterial biofilms and killed them, four broke the biofilms but did not kill the bacteria and two killed the bacteria but did not break the biofilms. Townsend explained that the sugars they studied first sensitize the target bacteria and then move for the final kill. This is called “synthetic lethality” and antimicrobials with this property are being developed.

The study further showed that these sugars could also enhance the effectiveness of the other antimicrobial agents present in breast milk. There is a spectrum of six bacteria called the “ESKAPE” pathogens. These are Enterococcus faecium, Staphylococcus aureus, Klebsiella pneumonia, Acinetobacter baumannii, Pseudomonar aeruginosa and Enterobacter species. These are the leading causes of infections worldwide. Breast milk sugars could successfully handle tow of these pathogens as well as numerous other bacterial infections found some of the follow up studies.

References

Dr. Ananya Mandal

Written by

Dr. Ananya Mandal

Dr. Ananya Mandal is a doctor by profession, lecturer by vocation and a medical writer by passion. She specialized in Clinical Pharmacology after her bachelor's (MBBS). For her, health communication is not just writing complicated reviews for professionals but making medical knowledge understandable and available to the general public as well.

Citations

Please use one of the following formats to cite this article in your essay, paper or report:

  • APA

    Mandal, Ananya. (2018, August 23). Breast milk protective against bacterial infections. News-Medical. Retrieved on January 21, 2026 from https://www.intakehealthlab.com/news/20170821/Breast-milk-protective-against-bacterial-infections.aspx.

  • MLA

    Mandal, Ananya. "Breast milk protective against bacterial infections". News-Medical. 21 January 2026. <https://www.intakehealthlab.com/news/20170821/Breast-milk-protective-against-bacterial-infections.aspx>.

  • Chicago

    Mandal, Ananya. "Breast milk protective against bacterial infections". News-Medical. https://www.intakehealthlab.com/news/20170821/Breast-milk-protective-against-bacterial-infections.aspx. (accessed January 21, 2026).

  • Harvard

    Mandal, Ananya. 2018. Breast milk protective against bacterial infections. News-Medical, viewed 21 January 2026, https://www.intakehealthlab.com/news/20170821/Breast-milk-protective-against-bacterial-infections.aspx.

Comments

The opinions expressed here are the views of the writer and do not necessarily reflect the views and opinions of News Medical.

Sign in to keep reading

We're committed to providing free access to quality science. By registering and providing insight into your preferences you're joining a community of over 1m science interested individuals and help us to provide you with insightful content whilst keeping our service free.

or

While we only use edited and approved content for Azthena answers, it may on occasions provide incorrect responses. Please confirm any data provided with the related suppliers or authors. We do not provide medical advice, if you search for medical information you must always consult a medical professional before acting on any information provided.

Your questions, but not your email details will be shared with OpenAI and retained for 30 days in accordance with their privacy principles.

Please do not ask questions that use sensitive or confidential information.

Read the full Terms & Conditions.

You might also like...
Water dispensers may contain more bacteria than tap water