Cryoablation shows potential as a treatment for low-risk breast cancer

Researchers at CentraState Medical Center have shown that cryoablation, also known as cryotherapy, could be an effective treatment for low-risk breast cancer.

Cyropreserved tumor cells - By Elena Pavlovich

Elena Pavlovich | Shutterstock

The early indications of the technique’s effectiveness will be presented today at the annual meeting of the Radiological Society of North America.

Lead author Kenneth Tomkovich and colleagues say that over the four-year study period, the cancer has recurred in only one of 180 patients.

If the positive preliminary findings are maintained as the patients enrolled in the study continue to be monitored, that will serve as a strong indication of the promise of cryotherapy as an alternative treatment for a specific group of breast cancer patients."

Kenneth Tomkovich, Lead Author

Previously, cryoablation has been used to treat cancer in organs such as the lungs and kidneys, but it has not yet been established as a treatment for breast cancer.

Tomkovich began investigating cryoablation as a treatment for breast cancer more than ten years ago since advancements in techniques such as mammography, ultrasound, and tomosynthesis had enabled lower-risk cancers to be detected.

Without treatment, these small, early-stage tumors can become invasive and life-threatening, but no treatments have yet been developed to target them at such early stages of detection.

"We're finding smaller and smaller breast cancers, but we're still treating them the same way we did 30 years ago," says Tomkovich.

Cryoablation involves a probe being introduced into a tumor via a small incision made in the skin.

A combination of mammography and high-definition ultrasound is used to guide the probe into the correct position. Nitrogen is then introduced, and an initial freeze cycle forms a ball of ice around the tumor, which destroys the cancer.

The ice ball is then thawed, and another freeze cycle is started to ensure that all cancerous cells are destroyed.

Now, as part of the Ice3 Trial, Tomkovich and colleagues describe their use of the technique as a primary treatment for breast cancer that does require surgical lumpectomy.

The trial, which was conducted across 18 centers in the U.S., started in 2014 and included women aged 60 or older who had been diagnosed with low-risk breast cancer.

The team has now collected three-year follow-up data for about 20 patients and two-year follow-up data for more than 75 patients, all of which show very promising results.

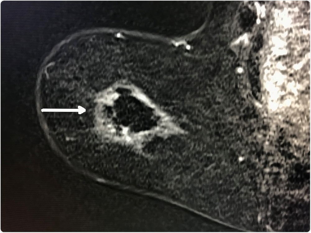
Breast cancer cells targeted in cyroablation - Radiological Society of North AmericaMRI post ablation shows white outline of ablation zone referred to as "cryohalo" with normal dark breast tissue centrally and no evidence of residual cancer (arrow). (Radiological Society of North America)

The procedure was successfully completed for all patients, with no serious adverse effects being reported. Only one case of cancer recurrence has been reported so far, which translates as a 99.4% success rate.

Lumpectomy is 90 to 95 percent effective at removing cancer. We were going for something close to that, but our preliminary results have been even better. We're getting the same results at 18 centers around the country.”

Kenneth Tomkovich, Lead Author

The final results of the study will be available once five-year follow-up data has been obtained for all women who received the treatment during the trial.

"If it's proven that cryoablation works, then some women might be more inclined to opt for it over surgery," suggests Tomkovich.

Sally Robertson

Written by

Sally Robertson

Sally first developed an interest in medical communications when she took on the role of Journal Development Editor for BioMed Central (BMC), after having graduated with a degree in biomedical science from Greenwich University.

Citations

Please use one of the following formats to cite this article in your essay, paper or report:

  • APA

    Robertson, Sally. (2019, June 24). Cryoablation shows potential as a treatment for low-risk breast cancer. News-Medical. Retrieved on January 23, 2026 from https://www.intakehealthlab.com/news/20181128/Cryoablation-shows-potential-as-a-treatment-for-low-risk-breast-cancer.aspx.

  • MLA

    Robertson, Sally. "Cryoablation shows potential as a treatment for low-risk breast cancer". News-Medical. 23 January 2026. <https://www.intakehealthlab.com/news/20181128/Cryoablation-shows-potential-as-a-treatment-for-low-risk-breast-cancer.aspx>.

  • Chicago

    Robertson, Sally. "Cryoablation shows potential as a treatment for low-risk breast cancer". News-Medical. https://www.intakehealthlab.com/news/20181128/Cryoablation-shows-potential-as-a-treatment-for-low-risk-breast-cancer.aspx. (accessed January 23, 2026).

  • Harvard

    Robertson, Sally. 2019. Cryoablation shows potential as a treatment for low-risk breast cancer. News-Medical, viewed 23 January 2026, https://www.intakehealthlab.com/news/20181128/Cryoablation-shows-potential-as-a-treatment-for-low-risk-breast-cancer.aspx.

Comments

The opinions expressed here are the views of the writer and do not necessarily reflect the views and opinions of News Medical.
Post a new comment
Post

Sign in to keep reading

We're committed to providing free access to quality science. By registering and providing insight into your preferences you're joining a community of over 1m science interested individuals and help us to provide you with insightful content whilst keeping our service free.

or

While we only use edited and approved content for Azthena answers, it may on occasions provide incorrect responses. Please confirm any data provided with the related suppliers or authors. We do not provide medical advice, if you search for medical information you must always consult a medical professional before acting on any information provided.

Your questions, but not your email details will be shared with OpenAI and retained for 30 days in accordance with their privacy principles.

Please do not ask questions that use sensitive or confidential information.

Read the full Terms & Conditions.