New AI-driven diagnostics technique could transform treatment for bowel cancer

A test which uses artificial intelligence (AI) to measure proteins present in some patients with advanced bowel cancer could hold the key to more targeted treatment, according to research published today.

New AI-driven diagnostics technique could transform treatment for bowel cancer
Image Credit: University of Leeds

A team at the University of Leeds collaborated with researchers at Roche Diagnostics to develop the technique, which will help doctors and patients to decide on the best treatment options.

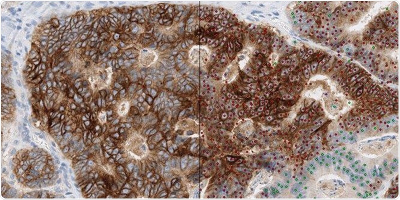
They used samples from a previous trial funded by Cancer Research UK to look at the levels of two proteins, known as AREG and EREG, which are produced by some colorectal cancers.  

Algorithms driven by AI enabled the researchers to show that patients with higher levels of these proteins received significant benefit from a treatment which inhibits a different protein involved in cancer cell growth, known as EGFR. Of equal importance, patients with low levels of the proteins did not benefit from the treatment.

Currently, anti-EGFR treatments are only given to patients with advanced, incurable bowel cancers. The researchers hope their methodology could be used in the future to identify patients in the earlier stages of illness who could also benefit from the drugs.

As more treatment options become available for advanced colorectal cancer, it is becoming increasingly difficult for patients and their doctors to choose the treatment that’s right for them. This test will help patients navigate this decision-making process more easily.”

Christopher Williams, Report's Lead Author, Leeds University’s Division of Pathology and Data Analytics

Today’s publication of the findings in the journal Clinical Cancer Research is timely as it coincides with Bowel Cancer Awareness Month in the UK. The study was funded by Innovate UK and Roche Diagnostics as well as Yorkshire Cancer Research. It was part of a program of work in this field being conducted by the National Pathology Imaging Co-operative.

As increasing numbers of complex tests are developed to target the right cancer treatments to the right patients, developing streamlined methods for delivering test results will be essential to improve cancer care.

By using artificial intelligence to semi-automate the test process, we anticipate it may be easier for results to be delivered to patients faster to better influence treatment decisions.”

Kandavel Shanmugam, Report’s Senior Author, Senior Director of Medical Innovation, Roche Diagnostics

Roche is a global pioneer in diagnostics and pharmaceuticals focused on advancing science to improve people’s lives.

Source:
Journal reference:

Williams, C.J.M., et al. (2021) Artificial intelligence-assisted amphiregulin and epiregulin immunohistochemistry predicts panitumumab benefit in RAS wild-type metastatic colorectal cancer. Clinical Cancer Research. doi.org/10.1158/1078-0432.CCR-21-0120.

Comments

The opinions expressed here are the views of the writer and do not necessarily reflect the views and opinions of News Medical.
Post a new comment
Post

Sign in to keep reading

We're committed to providing free access to quality science. By registering and providing insight into your preferences you're joining a community of over 1m science interested individuals and help us to provide you with insightful content whilst keeping our service free.

or

While we only use edited and approved content for Azthena answers, it may on occasions provide incorrect responses. Please confirm any data provided with the related suppliers or authors. We do not provide medical advice, if you search for medical information you must always consult a medical professional before acting on any information provided.

Your questions, but not your email details will be shared with OpenAI and retained for 30 days in accordance with their privacy principles.

Please do not ask questions that use sensitive or confidential information.

Read the full Terms & Conditions.

You might also like...
Genomic screening uncovers hidden cancer and heart disease risk in young adults