AMSBIO offers an extensive collection of normal and disease state FFPE tissue blocks

AMSBIO has established an unmatched commercial biorepository and procurement network that includes a large selection of fully characterized and annotated Formalin-Fixed Paraffin-Embedded (FFPE) tissue blocks to help streamline your research.

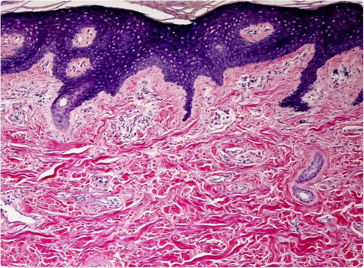
AMSBIO offers an extensive collection of normal and disease state FFPE tissue blocks
AMSBIO FFPE blocks can be supplied as ready to use or can be tailored to suit your workflow. Image Credit: AMSBIO

Drawing upon decades of experience - AMSBIO is able to offer an extensive collection of frozen and paraffin-embedded (FFPE) human and animal tissue samples from normal and many diseased tissue types. All FFPE tissue blocks are processed using standard clinical procedures, under Institutional Review Board (IRB) approved protocols. Each tissue sample is pathologically verified and quality assessed by a board-licensed pathologist before being shipped with donor demographics and clinical details.

Characterized samples sets are now available and include many clinically relevant mutations and biomarkers, such as: EGFR, PD-L1, KRAS, NRAS, MSI, MMR, and BRAF. In addition, comprehensively NGS characterized FFPE solid tumor tissues suitable for assay development, genotyping and identification of new mutational hotspots.

FFPE tissue blocks are an invaluable resource and can be supplied ready to use or can be tailored to suit your workflow and provided as slides, scrolls or array formats.

Citations

Please use one of the following formats to cite this article in your essay, paper or report:

  • APA

    AMS Biotechnology. (2023, March 23). AMSBIO offers an extensive collection of normal and disease state FFPE tissue blocks. News-Medical. Retrieved on January 20, 2026 from https://www.intakehealthlab.com/news/20210701/AMSBIO-offers-an-extensive-collection-of-normal-and-disease-state-FFPE-tissue-blocks.aspx.

  • MLA

    AMS Biotechnology. "AMSBIO offers an extensive collection of normal and disease state FFPE tissue blocks". News-Medical. 20 January 2026. <https://www.intakehealthlab.com/news/20210701/AMSBIO-offers-an-extensive-collection-of-normal-and-disease-state-FFPE-tissue-blocks.aspx>.

  • Chicago

    AMS Biotechnology. "AMSBIO offers an extensive collection of normal and disease state FFPE tissue blocks". News-Medical. https://www.intakehealthlab.com/news/20210701/AMSBIO-offers-an-extensive-collection-of-normal-and-disease-state-FFPE-tissue-blocks.aspx. (accessed January 20, 2026).

  • Harvard

    AMS Biotechnology. 2023. AMSBIO offers an extensive collection of normal and disease state FFPE tissue blocks. News-Medical, viewed 20 January 2026, https://www.intakehealthlab.com/news/20210701/AMSBIO-offers-an-extensive-collection-of-normal-and-disease-state-FFPE-tissue-blocks.aspx.

Comments

The opinions expressed here are the views of the writer and do not necessarily reflect the views and opinions of News Medical.
Post a new comment
Post

While we only use edited and approved content for Azthena answers, it may on occasions provide incorrect responses. Please confirm any data provided with the related suppliers or authors. We do not provide medical advice, if you search for medical information you must always consult a medical professional before acting on any information provided.

Your questions, but not your email details will be shared with OpenAI and retained for 30 days in accordance with their privacy principles.

Please do not ask questions that use sensitive or confidential information.

Read the full Terms & Conditions.

You might also like...
One-step ELISA experiments