Atherosclerosis is the buildup of fats, cholesterol, and other substances in and on the artery walls. This buildup, called plaque, results in the thickening or hardening of the arteries, substantially increasing the risk of subsequent coronary artery disease, peripheral arterial disease, and carotid artery disease. Research has revealed that the critical mechanisms underpinning the initiation of atherosclerosis are chronic inflammation and perturbations in normal lipid metabolism.
The past decades have witnessed increasing scientific interest in the potential of functional lipids as interventions against atherosclerosis. n-3 polyunsaturated fatty acid (n-3 PUFA)-enriched oils, primarily fish oils (FOs), have received the most attention, with studies finding that low-density lipoprotein (LDL) receptor knock-out mice fed with FOs received significantly lower atherosclerotic lesion areas than their placebo-fed counterparts. The apolipoprotein E-null (ApoE−/−) mice model is an extremely popular murine representative of human lesions. Studies using this in vivo system have shown that n-3 PUFA intake reduces the risk of carotid intima-media thickness.
The mechanism of action is attributed to n-3 PUFA's role in improving lipid metabolism and its anti-inflammatory properties. Another largely ignored n-3 PUFA source is mussel oil (MO). Previous publications by the present research group have revealed that MO improved glycaemic traits in both murine and human cohorts. Surprisingly, both this research group and others have observed MOs to have higher efficacy than FOs while further displaying potent anti-inflammatory properties in treating rheumatoid arthritis, type 2 diabetes mellitus (T2DM), and excess serum triacylglycerol (TG).
Given these benefits and the environmentally sustainable farming potential presented by mussels, the present study aims to investigate if MOs' anti-atherosclerosis performance matches or exceeds that of their fish-derived counterparts.
About the study
Mussel oil for use in this study was obtained using lyophilization followed by supercritical fluid extraction. FO and CO were purchased from licensed distributors. The sample cohort comprised six-week-old male C57BL/6 J mice (wild type [WT]; n = 6) and male ApoE−/− C57BL/6 J mice (n = 24) of the same age. Following one week of acclimatization, the ApoE−/− cohort was randomly assigned to one of four experimental interventions – corn oil (CO), FO, MO, or aspirin (ASP; 0.5 mg/mL) dissolved in CO. Their feed was high in fat and cholesterol (HFHC). The WT cohort represented the health control group, whose treatment was an equal amount of CO (0.1 mL/10 g/day) and fed a standard chow diet.
Study investigations included histologic analysis and atherosclerotic plaque quantitation via a combination of staining (hematoxylin-eosin and Oil-red O), microscopy, and cryotomy techniques. Immunohistochemistry was used to detect macrophages and smooth muscle cells (SMCs) belonging to the aortic sinus. Additionally, fatty acids, serum lipids, and inflammatory factors were quantified.
Western blotting analyses were used to determine aortal gene protein levels. Ultra-performance liquid chromatography-mass spectrometry (UPLC-MS) techniques were used to investigate quantities of furan fatty acids and high-performance liquid chromatography (HPLC) to quantify astaxanthin. Between-group results comparisons were tested for significance using one-way analysis of variance (ANOVA) and Fisher's least significant difference (LSD) tests.

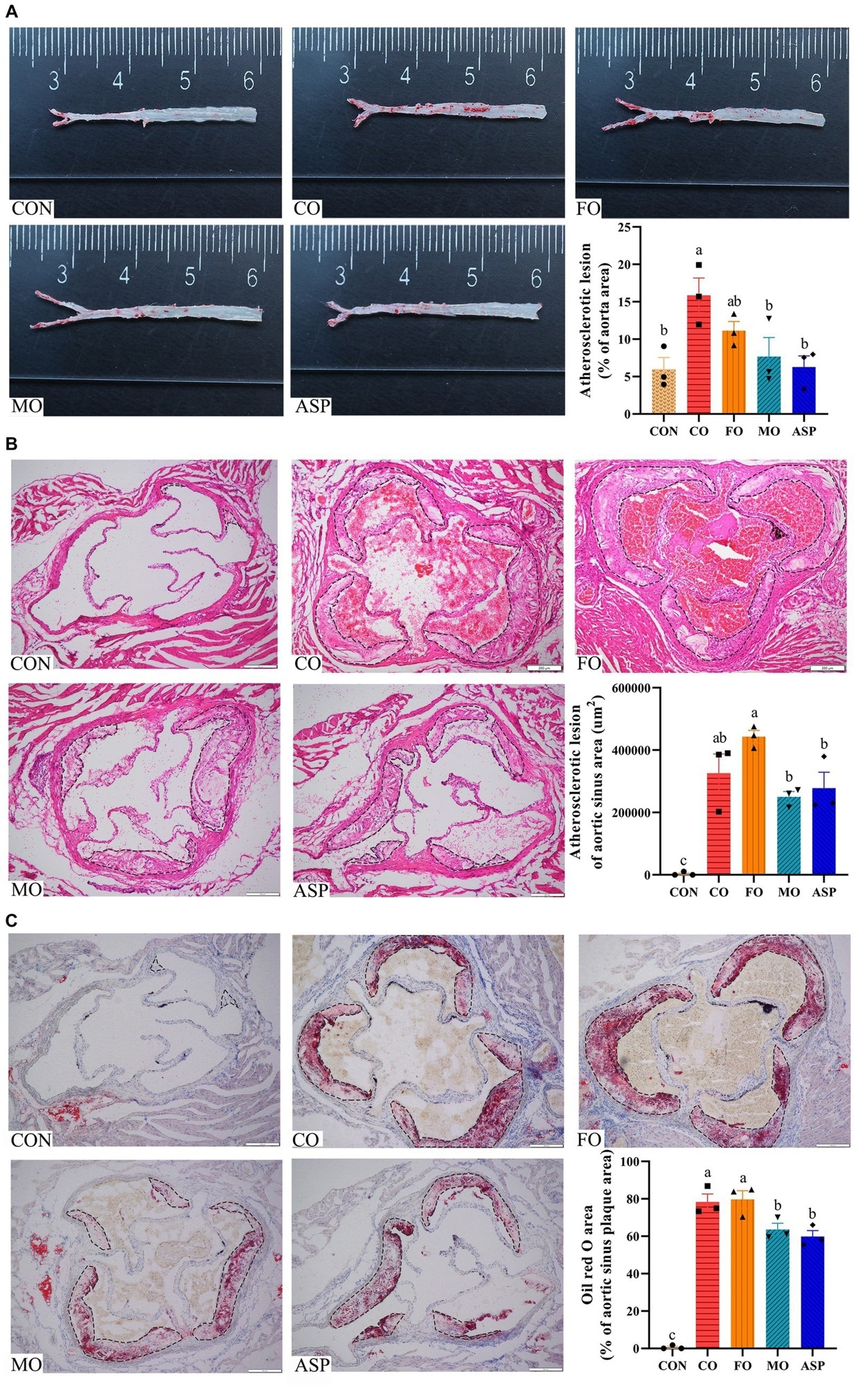
Effect of treatment oils on atherosclerotic plaque in the aorta (A) and aortic sinus (B,C). Three mice in each group were included for analysis. For B–C, 2 serial sections of each mice were used, and the mean of two sections from one mice was included in the final analysis. Atherosclerotic plaque in the aorta was detected by Oil-red O staining (A). Atherosclerotic plaque and lipid deposition in the aortic sinus was detected by H&E (B) and Oil-red O staining (C), respectively. The outline of the atherosclerotic lesions in the aortic sinus was marked with a black dashed line. The result of Oil red O staining in the aortic sinus was normalized by atherosclerotic plaque area. Data were expressed as mean ± SEM. There was significance if groups did not share the same letter (p < 0.05). CON, health control; CO, corn oil; FO, fish oil; MO, mussel oil; ASP, aspirin.
Study findings
Comparisons in atherosclerotic plaque area and lesion area between the treatment cohorts using the CON group as a baseline revealed that the CO group was the worst affected. Surprisingly, despite slight reductions in lesion area, FO was not found to vary from CO outcomes statistically. The MO group was found to fare much better, with lesion and plaque areas comparable to those of fish oASP and CON groups.
Quantification of SMCs revealed similar trends – the number of SMCs in the MO group was significantly lower than the CO and FO groups and was comparable to ASP results. In contrast, CO and MO cohort results were statistically indistinguishable in macrophage analyses.
"The MO group had a significantly smaller atherosclerotic plaque area, lower lipid deposition, lower contents of smooth muscle cell (SMC), and slightly lower contents of macrophage at the aortic sinus than the FO group. Serum concentrations of IL-1β, NF-κB, and VCAM-1 were comparable in the MO and FO groups and were significantly lower than the CO group."
Intriguingly, the MO group displayed substantially lower levels of p65NF-κB, p38MAPK, and VCAM-1 protein expression than FO mice. Given the similarities in the other n-3 PUFA characteristics of MO and FO, this pathway downregulation suggests itself as the mechanism of action behind MO's unexpectedly improved anti-atherosclerosis potential over FO.
Conclusion
The present study reveals that mussel oil significantly outperforms fish oils in anti-atherosclerosis efficacy in murine ApoE−/− model systems. When combined with the sustainability of harvesting mussels compared to their fish counterparts, this presents the former as an ideal candidate to replace the latter in atherosclerosis research and future interventions.
Journal reference:
- Li, K., Song, X., Li, H., Kuang, X., Liu, S., Liu, R., & Li, D. (2024). Mussel oil is superior to fish oil in preventing atherosclerosis of ApoE−/− mice. Frontiers in Nutrition, 11, 1326421, DOI – 10.3389/fnut.2024.1326421, https://www.frontiersin.org/articles/10.3389/fnut.2024.1326421/full