New study reveals how colorectal cancer cells establish liver metastases

Researchers at ETH Zurich have uncovered how colorectal cancer cells colonize the liver. Their findings could open up new ways to suppress this process in the future.

New study reveals how colorectal cancer cells establish liver metastases
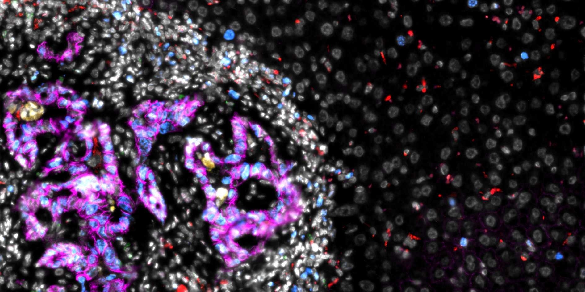
A colorectal cancer metastasis (left half of the image) in the liver. Colorectal cancer cells (pictured in magenta) surrounded by other cells (in white) within the metastasis (microscopy image). (Photograph: ETH Zurich / Morgan Roberts, Elena Guido Vinzoni)

In brief:

  • ETH researchers have discovered proteins on the surface of colorectal cancer cells and liver cells that bind together and that play a major role in the formation of new metastases.
  • The binding of the proteins triggers fundamental changes in colorectal cancer cells that allow them to take root in the liver.
  • These new findings will help to develop future treatments that may hinder the formation of often fatal metastases.

In cases where cancer is fatal, nine out of ten times the culprit is metastasis. This is when the primary tumor has sent out cells, like seeds, and invaded other organs of the body. While medicine has made great progress in treating primary tumors, it is still largely helpless in the face of metastasis. Currently, there are no medications that prevent this process.

A team of researchers led by Andreas Moor in the Department of Biosystems Science and Engineering at ETH Zurich in Basel have now published results in the journal Nature showing how colorectal cancer cells colonize the liver. Their findings will help to develop treatments with which it may be possible to hinder the metastatic process.

Molecular docking mechanism unlocked Cancer is said to metastasize when cells from the primary tumor break off and travel via the circulatory system to other parts of the body. “Colorectal cancer metastasizes to the liver because of how our blood flows,” Moor says. Blood is first enriched with nutrients in the intestines before it goes to the liver, which metabolizes the nutrients. For colorectal cancer cells, the liver is the last stop. “They get caught in the liver’s capillary network,” Moor says. Costanza Borrelli, a doctoral student, and other members of Moor’s team have now shown that the liver cells also play a large role in whether or not the cancer cells lodged there can colonize their new location. Science has known for over a century that, much like plant seeds in soil, cancer cells are dependent on their environment, yet it was previously unknown which molecular mechanisms play a role here.

Using sophisticated tests on genetically modified mice, Moor and his team have discovered that the secret lies in certain proteins on the cell surface. When liver cells have a protein called Plexin-B2 and the colorectal cancer cells possess certain proteins from the semaphorin family, the colorectal cancer cells can attach themselves to the liver cells.

Signposts in the nervous system

Cancer cells that have semaphorins on their surface are especially dangerous, as attested by clinical studies cited by Moor’s researchers in their paper. The study data shows that colorectal cancer metastasizes earlier and more frequently to the liver if the tumor has large amounts of semaphorin.

Plexin and its counterpart semaphorin were previously known to the research community for their function in the nervous system, where the two proteins steer growing nerve cells and ensure they form the right pathways. “Why liver cells also create plexin and what this protein does in healthy livers is anything but clear – and interests us immensely,” Moor says. In other words, the question of its function remains open.

Return to sedentary state

What Moor and his team have discovered, however, is that direct contact between plexin and semaphorin triggers fundamental changes in colorectal cancer cells. To break off from the primary tumor, the cancer cells have to change their identity: they free themselves from the surface layer of the intestine, or epithelium, severing their close connections to neighboring cells.

Once in the bloodstream, the cancer cells resemble those from connective tissue called mesenchyme. Yet once they find their new niche – thanks to the plexin on some liver cells – the cancer cells turn back into their sedentary form. “An epithelization process takes place,” the researchers wrote in their paper. Moor expands: “You can spot this immediately if you look at the cancer cells, as they form invaginations similar to the folds or crypts in the intestines.”

The researchers’ discovery will have an impact on more than colorectal cancer patients: further tests have shown that plexin also encourages the formation of metastases in melanoma and pancreatic cancer. For Moor and his team, this throws up many new research questions. One in particular is drawing their focus: when cancer cells cluster together to form a tumor, they also influence cells in their environment.

Cancer cells set up their own ecosystem.” 

Andreas Moor, Department of Biosystems Science and Engineering, ETH Zurich

Critical period of time

If efforts to inhibit the crucial interaction between plexin and semaphorin succeed, it may be possible to prevent the cancer from establishing new tumors in the first place. That’s because early on, when the relationships among the cells in this ecosystem have not yet been firmly established, tumor metastases are especially vulnerable, Moor explains. He appears confident that an answer lies within this “critical period of time in the development of metastases”, even though the path to any potential treatment is still long.

Source:
Journal reference:

Borrelli, C., et al. (2024). In vivo interaction screening reveals liver-derived constraints to metastasis. Nature. doi.org/10.1038/s41586-024-07715-3.

Comments

The opinions expressed here are the views of the writer and do not necessarily reflect the views and opinions of News Medical.
Post a new comment
Post

Sign in to keep reading

We're committed to providing free access to quality science. By registering and providing insight into your preferences you're joining a community of over 1m science interested individuals and help us to provide you with insightful content whilst keeping our service free.

or

While we only use edited and approved content for Azthena answers, it may on occasions provide incorrect responses. Please confirm any data provided with the related suppliers or authors. We do not provide medical advice, if you search for medical information you must always consult a medical professional before acting on any information provided.

Your questions, but not your email details will be shared with OpenAI and retained for 30 days in accordance with their privacy principles.

Please do not ask questions that use sensitive or confidential information.

Read the full Terms & Conditions.

You might also like...
Common food preservatives may raise cancer risk