Firefighting chemicals leave brain cancer-linked mutations, study shows

New research reveals that years of firefighting may leave a deadly genetic mark, as toxic chemicals used on the job are now linked to brain cancer-causing mutations.

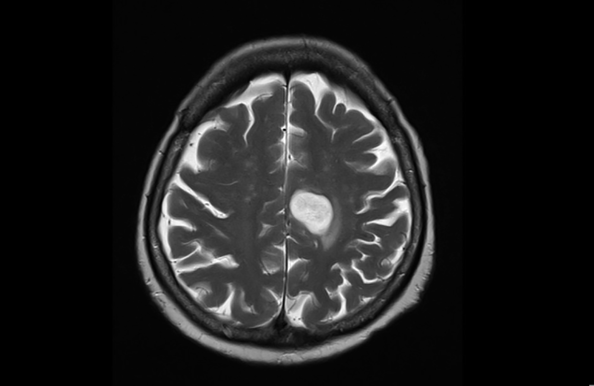
Study: Glioma mutational signatures associated with haloalkane exposure are enriched in firefighters. Image Credit: Yok_onepiece / Shutterstock.com Study: Glioma mutational signatures associated with haloalkane exposure are enriched in firefighters. Image Credit: Yok_onepiece / Shutterstock.com

A recent study published in the journal Cancer identifies haloalkane exposure, especially among firefighters, as a risk factor for glioma.

What causes glioma?

A glioma is a type of brain tumor that arises from glial cells. Based on their aggressiveness, gliomas can be further classified into four grades, with grades I and II considered to be less invasive than grades III and IV.

It remains unclear what environmental or genetic factors can lead to the development of a glioma. Recently, 1,000 gliomas from The Cancer Genome Atlas (TCGA) and Glioma Longitudinal Analysis (GLASS) were analyzed to identify mutational signatures present in these tumors.

Most of the mutational signatures identified in this study were related to single-base substitution signature 1 (SBS1), which is often a correlate of aging. SBS42, a mutational signature traditionally associated with haloalkane exposure, was also identified in these samples, many of which were obtained from male patients.

SBS42 was first identified among patients working at a Japanese printing firm who were exposed to high levels of haloalkanes and eventually developed occupational cholangiocarcinoma. Haloalkanes are present in various products, including fire extinguisher chemicals, pesticides, and flame-retardant chemicals.

The GLASS and TCGA analysis did not provide data on the occupations of the study participants. Since firefighters are often considered to be at a greater risk of glioma, the current study's researchers investigated whether this occupation may lead to SBS42 or other mutational signatures implicated in gliomagenesis and environmental carcinogen exposure.

Study findings

The current study included 17 firefighters and 18 non-firefighters with gliomas who provided both blood and tumor samples. These samples were subjected to whole-exome sequencing, following which these data were analyzed through variant filtering, mutational signature analysis, and driver gene identification.

About 94% of the study cohort were non-Hispanic White men. All firefighters were matched by age, sex, race, glioma subtype, and treatment history with a non-firefighter.

The firefighter cohort spent an average of 22 years in this occupation, with an average of seven years between their last firefighter exposure and glioma diagnosis. Most patients were diagnosed with high-grade glioblastomas of the isocitrate dehydrogenase 1 gene (IDH1)/IDH2 wild type. A majority of the study participants previously received chemotherapy and radiation before blood samples were collected.

Two of the 17 firefighters had a high median number of variants despite having spent a few years firefighting. This was likely attributed to their experience with other occupations, including farming, pesticide use, and petroleum transport, which may increase their risk of exposure to haloalkanes. When these firefighters were not considered in the analysis, a dose-depending relationship was observed between firefighting years and the median number of SBS42 variants.

Non-firefighters with a greater number of median variants attributable to SBS42 reported other occupations, such as painting and mechanics, that may similarly increase their risk of haloalkane exposure.

Of the 13 samples with a significant median number of SBS42-linked variants, six samples had at least one significantly mutated gene, all of which except one were more than 50% likely to be attributed to SBS42.

Samples with more than ten median variants attributable to SBS42 showed mutations in genes known to be linked to cancer, such as NOTCH1, ROS1, ETV1, and NCOA2. The likelihood that these observed mutations were attributable to the SBS42 mutational signature was estimated to exceed 60%.

We confirm detection of the SBS42 signature in a cohort of individuals highly exposed to haloalkanes.”

Conclusions

The current study provides evidence that occupational exposure to haloalkanes through firefighting and other professions likely increases the risk of glioma through the SBS42 mutational signature. Nevertheless, additional studies are needed to identify other potential exogenous mutational processes that may be involved in the pathogenesis of gliomas. These data will be essential for developing effective public health interventions aimed at preventing this highly aggressive cancer in vulnerable populations.

Journal reference:
Dr. Liji Thomas

Written by

Dr. Liji Thomas

Dr. Liji Thomas is an OB-GYN, who graduated from the Government Medical College, University of Calicut, Kerala, in 2001. Liji practiced as a full-time consultant in obstetrics/gynecology in a private hospital for a few years following her graduation. She has counseled hundreds of patients facing issues from pregnancy-related problems and infertility, and has been in charge of over 2,000 deliveries, striving always to achieve a normal delivery rather than operative.

Citations

Please use one of the following formats to cite this article in your essay, paper or report:

  • APA

    Thomas, Liji. (2025, March 13). Firefighting chemicals leave brain cancer-linked mutations, study shows. News-Medical. Retrieved on January 17, 2026 from https://www.intakehealthlab.com/news/20250313/Firefighting-chemicals-leave-brain-cancer-linked-mutations-study-shows.aspx.

  • MLA

    Thomas, Liji. "Firefighting chemicals leave brain cancer-linked mutations, study shows". News-Medical. 17 January 2026. <https://www.intakehealthlab.com/news/20250313/Firefighting-chemicals-leave-brain-cancer-linked-mutations-study-shows.aspx>.

  • Chicago

    Thomas, Liji. "Firefighting chemicals leave brain cancer-linked mutations, study shows". News-Medical. https://www.intakehealthlab.com/news/20250313/Firefighting-chemicals-leave-brain-cancer-linked-mutations-study-shows.aspx. (accessed January 17, 2026).

  • Harvard

    Thomas, Liji. 2025. Firefighting chemicals leave brain cancer-linked mutations, study shows. News-Medical, viewed 17 January 2026, https://www.intakehealthlab.com/news/20250313/Firefighting-chemicals-leave-brain-cancer-linked-mutations-study-shows.aspx.

Comments

The opinions expressed here are the views of the writer and do not necessarily reflect the views and opinions of News Medical.
Post a new comment
Post

While we only use edited and approved content for Azthena answers, it may on occasions provide incorrect responses. Please confirm any data provided with the related suppliers or authors. We do not provide medical advice, if you search for medical information you must always consult a medical professional before acting on any information provided.

Your questions, but not your email details will be shared with OpenAI and retained for 30 days in accordance with their privacy principles.

Please do not ask questions that use sensitive or confidential information.

Read the full Terms & Conditions.