A Flexible and Customized Approach to Achieve Vimentin Research Goals

The process of epithelial to mesenchymal transition (EMT) plays a key role in metastasis. Vimentin is a clinical marker of metastasis and a canonical marker of the EMT. The overexpression of vimentin in epithelial cancers such as breast, lung, and prostate makes it a viable target for cancer therapy.1,2

How Abcam Can Help Users

By offering a tailored and flexible method through a secure source of research tools and custom services, Abcam can assist users to achieve their goals related to vimentin research.

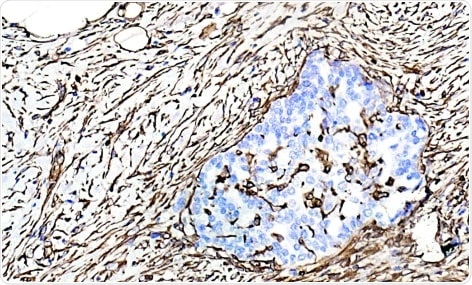
Vimentin recombinant rabbit monoclonal antibody (ab92547) staining in human ovarian cancer tissue using immunohistochemistry (formaldehyde-fixed, paraffin-embedded sections). Image courtesy of Mr Carl Hobbs, Kings College London.

Vimentin recombinant rabbit monoclonal antibody (ab92547) staining in human ovarian cancer tissue using immunohistochemistry (formaldehyde-fixed, paraffin-embedded sections). Image courtesy of Mr Carl Hobbs, Kings College London.

Flexible Antibody Formulations

Antibodies against EMT-related proteins and vimentin come in PBS-only formulations and are conjugated to enzymes and fluorophores.

Comprehensive Range of Vimentin and EMT-Related Products

Antibodies and tiny molecules specific for studying vimentin from all angles and targeting all EMT stages are available.

Custom Antibody Services

Using Abcam’s patented RabMAb® technology, users can create rabbit monoclonal antibodies against their target of interest.

Large Amounts and Consistency of Supply

Users can secure the supply of their preferred products.

Custom miRNA Profiling

These are profile miRNAs that control cancer metastasis with Abcam’s Firefly particle technology. Abcam provides custom miRNA panel design to provide users with an assay customized to their requirements.

If a specific product is not available, users can contact Abcam. The company’s expert customer services team will assist them with their particular request.

References

  1. Kidd, M. E., Shumaker, D. K. & Ridge, K. M. The Role of Vimentin Intermediate Filaments in the Progression of Lung Cancer. Am. J. Respir. Cell Mol. Biol. 130827094923003 (2013). doi:10.1165/rcmb.2013-0314TR
  2. Satelli, A. & Li, S. Vimentin in cancer and its potential as a molecular target for cancer therapy. Cell. Mol. Life Sci. 68, 3033–3046 (2011).

About Abcam

Abcam is a global life sciences company providing highly validated antibodies and other binders and assays to the research and clinical communities to help advance the understanding of biology and causes of disease.

Abcam’s mission is to serve life scientists to help them achieve their mission faster by listening to their needs, continuously innovating and improving and by giving them the tools, data and experience they want. Abcam’s ambition is to become the most influential life science company for researchers worldwide.


Sponsored Content Policy: News-Medical.net publishes articles and related content that may be derived from sources where we have existing commercial relationships, provided such content adds value to the core editorial ethos of News-Medical.Net which is to educate and inform site visitors interested in medical research, science, medical devices and treatments.

Last updated: Jan 30, 2020 at 5:36 AM

Citations

Please use one of the following formats to cite this article in your essay, paper or report:

  • APA

    Abcam. (2020, January 30). A Flexible and Customized Approach to Achieve Vimentin Research Goals. News-Medical. Retrieved on January 17, 2026 from https://www.intakehealthlab.com/whitepaper/20190408/A-Flexible-and-Customized-Approach-to-Achieve-Vimentin-Research-Goals.aspx.

  • MLA

    Abcam. "A Flexible and Customized Approach to Achieve Vimentin Research Goals". News-Medical. 17 January 2026. <https://www.intakehealthlab.com/whitepaper/20190408/A-Flexible-and-Customized-Approach-to-Achieve-Vimentin-Research-Goals.aspx>.

  • Chicago

    Abcam. "A Flexible and Customized Approach to Achieve Vimentin Research Goals". News-Medical. https://www.intakehealthlab.com/whitepaper/20190408/A-Flexible-and-Customized-Approach-to-Achieve-Vimentin-Research-Goals.aspx. (accessed January 17, 2026).

  • Harvard

    Abcam. 2020. A Flexible and Customized Approach to Achieve Vimentin Research Goals. News-Medical, viewed 17 January 2026, https://www.intakehealthlab.com/whitepaper/20190408/A-Flexible-and-Customized-Approach-to-Achieve-Vimentin-Research-Goals.aspx.

Other White Papers by this Supplier

While we only use edited and approved content for Azthena answers, it may on occasions provide incorrect responses. Please confirm any data provided with the related suppliers or authors. We do not provide medical advice, if you search for medical information you must always consult a medical professional before acting on any information provided.

Your questions, but not your email details will be shared with OpenAI and retained for 30 days in accordance with their privacy principles.

Please do not ask questions that use sensitive or confidential information.

Read the full Terms & Conditions.