Advancing organoid culture: Innovative solutions for precision tissue engineering

Acquisition of desirable organoid cultures depends on the introduction of a variety of cytokine combinations into an organoid media. Based on the cell source and the final differentiation type, these combinations regulate the signaling pathways during organoid formation. For instance, Wnt is one of the most frequently used cytokines to produce and culture organoids because Wnt signaling helps stimulate the formation of organoids.

Organoid patterns are guided by BMP signaling, while FGF signaling encourages the growth of stem cells within them. Additional growth factors, including EGF, Noggin (NOG), R-spondin (RSPO1), and HGF, are also key components of organoid media. The necessary combinations of these growth factors are contingent on the source of the target cells and the developmental pathways involved.

Sino Biological can provide extensive growth factors characterized by batch-to-batch consistency, validated bioactivity, and purity. These factors are central to ensuring consistent and optimal organoid growth. Sino Biological’s products are renowned for quality and performance, recognized across the market and endorsed by the number of organoid platforms used by its clients.

Cytokines designed for organoid culture

 Image Credit: Sino Biological Inc.

Highlighted products

WENR (Wnt3a/EGF/Noggin/RSPO1) is organoid culture's most familiar cytokine scheme. The various combinations of these cytokines make it possible to culture almost all organoids, including gastric epithelial organoids, liver organoids, pancreatic organoids, and breast organoids.

Sino Biological has developed WENR cytokines of the highest standard, all of which demonstrate high batch-to-batch consistency, low endotoxin, and validated bioactivity, supporting the various needs of different organoid cultures.

Cytokines in organoid culture: Excellent performance validated by end users

Human fetal thyroid organoids

Human EGF (Cat#: 10605-HNAE)

(B) Time point brightfield images of human fetal thyroid organoids. (C) Immunofluorescence double‐labeled human fetal thyroid organoid.

(B) Time point brightfield images of human fetal thyroid organoids. (C) Immunofluorescence double‐labeled human fetal thyroid organoid. Source: https://doi.org/10.1002/advs.202105568

Colorectal cancer organoids

Human RSPO1, mouse NOG, and mouse EGF (Cat#: 11083-HNAS; Cat#: 50688-M02H; Cat#: 50482-MNCH)

Representative bright-field images for colorectal cancer organoids on day 0 and day 24 in response to 5-Fu treatment. (A) 5-Fu sensitive organoids; (B) 5-Fu resistant organoids. Sino Biological proteins used in the organoid culture: RSPO1 (Cat#: 11083-HNAS), NOG (Cat#: 50688-M02H), EGF (Cat#: 50482-MNCH).

Representative bright-field images for colorectal cancer organoids on day 0 and day 24 in response to 5-Fu treatment. (A) 5-Fu sensitive organoids; (B) 5-Fu resistant organoids. Sino Biological proteins used in the organoid culture: RSPO1 (Cat#: 11083-HNAS), NOG (Cat#: 50688-M02H), EGF (Cat#: 50482-MNCH). Source: https://doi.org/10.3389/fonc.2022.855674

Colorectal cancer organoids

Human RSPO1 (Cat#: 11083-HNAS)

(B) Time course culture of mCRC organoids with different morphologies. (C) Histopathological features of primary tumors and Patient Derived Organoids. Source: https://doi.org/10.3389/fbioe.2023.1190637

Mouse bladder organoids

Mouse FGF-7 (Cat#: 50394-M07E)

Mouse bladder organoids after 14 days in culture. Data provided by Dr. Yin at Washington University, St. Louis, MO.

Mouse bladder organoids after 14 days in culture. Data provided by Dr. Yin at Washington University, St. Louis, MO. Image Credit: Sino Biological Inc.

Human vascular organoids

FGF2, VEGF165, and EGF (10014-HNAE/11066-HNAH/10605-HNAE)

iPSC-derived human vascular organoids were cultured with FGF2 (Cat#: 10014-HNAE), VEGF165 (Cat#: 11066-HNAH), EGF (Cat#: 10605-HNAE). Red arrows represent vascular organoids.

iPSC-derived human vascular organoids were cultured with FGF2 (Cat#: 10014-HNAE), VEGF165 (Cat#: 11066-HNAH), EGF (Cat#: 10605-HNAE). Red arrows represent vascular organoids. Image Credit: Sino Biological Inc.

Product validation data

High purity and SEC-HPLC verified

Human noggin (Cat#: 10267-HNAH)

≥ 95% as determined by SDS-PAGE and SEC-HPLC.

≥ 95% as determined by SDS-PAGE and SEC-HPLC. Image Credit: Sino Biological Inc.

Human FGF-7 (Cat#: 10210-H07E)

≥ 95% as determined by SDS-PAGE and SEC-HPLC.

≥ 95% as determined by SDS-PAGE and SEC-HPLC. Image Credit: Sino Biological Inc.

Human FGF10 (Cat#: 10573-HNAE)

≥ 95% as determined by SDS-PAGE and SEC-HPLC.

≥ 95% as determined by SDS-PAGE and SEC-HPLC. Image Credit: Sino Biological Inc.

Human/Cynomolgus VEGF165 (Cat#: 11066-HNAH)

≥ 95% as determined by SDS-PAGE and SEC-HPLC.

≥ 95% as determined by SDS-PAGE and SEC-HPLC. Image Credit: Sino Biological Inc.

Industry-leading activity

Human EGF (Cat#: 10605-HNAE)

Measured in a cell proliferation assay using Balb/C 3T3 mouse embryonic fibroblasts.

Measured in a cell proliferation assay using Balb/C 3T3 mouse embryonic fibroblasts. Image Credit: Sino Biological Inc.

Human RSPO1 (Cat#: 11083-HNAS)

Measured by its ability to induce activation of ß-catenin response in a Topflash Luciferase assay using HEK293T cells.

Measured by its ability to induce activation of ß-catenin response in a Topflash Luciferase assay using HEK293T cells. Image Credit: Sino Biological Inc.

Human HGF (Cat#: 10463-HNAS)

Measured by its ability to neutralize TGF-beta mediated inhibition on Mv-1-Lu cell proliferation.

Measured by its ability to neutralize TGF-beta mediated inhibition on Mv-1-Lu cell proliferation. Image Credit: Sino Biological Inc.

GMP-grade activin A (Cat#: GMP-10429-HNAH)

Measured by its ability to inhibit proliferation of MPC-11 cells. The specific activity is >1000 U/mg.

Measured by its ability to inhibit proliferation of MPC-11 cells. The specific activity is >1000 U/mg. Image Credit: Sino Biological Inc.

High lot-to-lot consistency

Human EGF (Cat#: 10605-HNAE)

Three independent batches of human EGF protein (Cat#: 10605-HNAE) have identical bioactivity.

Three independent batches of human EGF protein (Cat#: 10605-HNAE) have identical bioactivity. Image Credit: Sino Biological Inc.

GMP-grade human OSM (Cat#: GMP-10452-HNAH)

Three independent batches of human OSM protein (Cat#: GMP-10452-HNAH) have identical bioactivity.

Three independent batches of human OSM protein (Cat#: GMP-10452-HNAH) have identical bioactivity. Image Credit: Sino Biological Inc.

Source: Sino Biological Inc.

Cytokines  Cat# Species Expression Host Purity Activity  Endotoxin
EGF GMP-10605-HNAE
   4 Citations
Human E. coli ≥ 95 % (SEC-HPLC)  Active < 5 EU/mg
FGF7 10210-H07E
  2 Citations
Human E. coli ≥ 95 % (SEC-HPLC)  Active < 0.01 EU/μg
FGF10 10573-HNAE
  3 Citations
Human E. coli ≥ 95 % (SEC-HPLC)  Active < 5 EU/mg
HGF 10463-HNAS
  20 Citations
Human CHO Stable Cells ≥ 95 % (SEC-HPLC)  Active < 0.01 EU/μg
NOG 10267-HNAH Human HEK293 Cells ≥ 95 % (SEC-HPLC)  Active < 10 EU/mg
Activin A 10429-HNAH
  5 Citations
Human, Mouse,
Rat, Cynomolgus,
Rhesus
HEK293 Cells ≥ 95 % (SEC-HPLC)  Active <10 EU/mg

 

Organoid analysis and characterization

Once a culture of organoids has been successfully acquired, an assessment must be performed to evaluate whether the cultured organoids, in effect, recapitulate key aspects of the relative human tissue or organ.

This validation is a necessary requirement in order to use organoids in any subsequent applications. Currently, the methods primarily used to analyze organoids include H&E staining, immunohistochemistry, immunofluorescence, and single-cell sequencing. These methods can be carried out to investigate various elements of the organoids, including morphology, histopathology, and molecular genetics.

Organoid marker antibodies

Validating organoid markers is vital when establishing the successful culturing of organoids and offers valuable insight regarding any changes in cellular physiological and pathological qualities.

Sino Biological has a vast array of high-quality organoid marker antibodies readily available for immunofluorescence, immunohistochemistry, flow cytometry, WB, and immunoprecipitation applications, supporting organoid research and validation.

List of normal organoid markers

Source: Sino Biological Inc.

Organoid Type Biomarker
Cardiac Organoid IRX4, Ki67, TBX5, N-Cadherin, beta-Catenin, CD31, Alpha-fetoprotein, VE-Cadherin, Troponin I
Prostate Organoid KRT5, Cytokeratin 8, p63, PSA, Androgen receptor, KRT14, E-Cadherin, Vimentin, Nkx3.1, KRT18, Chromogranin A
Breast Organoid KRT18, KRT14, p63, Cytokeratin 8, EpCAM, E-Cadherin, Actin
Inner Ear Organoid PAX8, E-Cadherin, PAX2, SOX2, GATA3, Jagged 1, TUBB3, KRT18, PCP4, ANXA4, SPARCL1
Blood Vessel Organoid CD31, PDGFRB, ACTA2, Actin, Ki67, VE-Cadherin
Retinal Organoid ISL1, Ki67, SOX2, Nestin, GFAP, Vimentin
Thyroid Organoid PAX8, Thyroid peroxidase, SLC5A5, TTF1, FOXO1, TJP1
Liver Organoid KRT19, HNF4A, Albumin, EpCAM, TJP1, E-Cadherin, PCK1, ABCC2
Lung Organoid TJP1, Uteroglobin, E-Cadherin, FoxJ1, p63, SOX2, Cytokeratin 8, Cytokeratin 17
Brain Organoid TUBB3, SOX2, Ki67, PAX2, EMX1, Neuropilin-2, Transthyretin, MAP2, N-Cadherin, CALB2, DCX
Intestinal Organoid Albumin, PDX1, LGR5, CD34, c-Kit, EpCAM, CDX2, E-Cadherin, Chromogranin A, KRT20, Ki67, SOX2
Kidney Organoid PAX2, PODXL, N-Cadherin, Aquaporin 1, E-Cadherin, TIM-1, Vimentin, CD31, PAX8
Gastric Organoid FOXF1, KLF5, GATA4, PDX1, SOX2, E-Cadherin, ACTA2, CDX2, PGC
Pancreas Organoid KLF4, PDX1, ONECUT1, KRT19

 

List of tumor organoid markers

Source: Sino Biological Inc.

Organoid Type Biomarker
Liver Cancer EpCAM, Alpha-fetoprotein, GPC3, beta-Catenin, Ki67, KRT19
Gastric Cancer CEACAM1, KRT7, KRT20, Ki67, E-Cadherin, p53
Bladder Cancer KRT7, KRT20, Ki67, KRT5, Cytokeratin 8, p53, KRT14, FOXA1, p63, CD44
Biliary Cancer KRT7, MUC1, p53, KRT19, EpCAM, S100P, N-Cadherin, NCAM
Nasopharyngeal Cancer Ki67, CD133, CD44
Lung Cancer Aryl Hydrocarbon Receptor, Napsin A, TTF-1, KRT7, p63, NCAM, Synaptophysin
Breast Cancer ER alpha, Progesterone receptor, Her2, Ki67, KRT14, p63, KRT5, Cytokeratin 8, P-cadherin, E-Cadherin, KRT18
Colorectal Cancer MSH6, Ki67, CDX2, KRT20, beta-Catenin, P-CK, OLFM4
Prostate Cancer Ki67, PTEN, Androgen receptor, NKX3.1, p63, PSA, GSTP1, ACTA2, KRT5, Cytokeratin 8, E-Cadherin, Vimentin, KRT14
Ovarian Cancer p53, PAX8, Cytokeratin 8, ER alpha, HE4, Progesterone receptor, KRT7, E-Cadherin, Her2, KRT20, Ki67, CD9, KRT19, EpCAM, ALDH1A1, CD44
Pancreatic Cancer Synaptophysin, Ki67, Chromogranin A, KRT19, MUC1

 

Product validation data

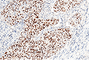
Ki67 antibody (Cat#: 100130-MM19)

Immunochemical staining of human Ki67 in human lung cancer.

Immunochemical staining of human Ki67 in human lung cancer. Image Credit: Sino Biological Inc.

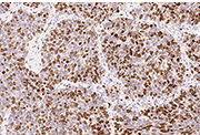
p63 antibody (Cat#: 100266-R143)

Immunochemical staining of human p63 in human breast carcinoma.

Immunochemical staining of human p63 in human breast carcinoma. Image Credit: Sino Biological Inc.

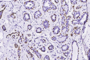
KRT19 antibody (Cat#: 100306-MM08)

Immunochemical staining of human KRT19 in human thyroid cancer

Immunochemical staining of human KRT19 in human thyroid cancer. Image Credit: Sino Biological Inc.

p53 antibody (Cat#: 90001-R002)

Immunochemical staining of p53 in human lung cancer.

Immunochemical staining of p53 in human lung cancer. Image Credit: Sino Biological Inc.

Testimonials from partners

D1Med is considered a leader in the organoid field. The company provides pharmaceutical companies with new clinical solutions for precision cancer medicine as well as high-grade organoid models and other related services .

D1Med has used Sino Biological's top-quality cytokine products such asFGFs, NogginR-Spondin 1, and EGF to develop a range of standardized organoids such as stomach, intestine, kidney, lung, and liver, as well as tumor organoids that replicate breast, lung, liver, and ovarian cancers. These organoids have been successfully deployed in drug development and precision therapy development applications.

As our strategic partner and long-term supplier, Sino Biological always provides recombinant protein raw materials with excellent quality and stable performance for our organoid platform, fully guaranteeing the stability and high efficiency of the organoid culture system.”

Guoqiang Hua, Ph.D Founder & Chairman, D1Med Technology (Shanghai) Inc.

Organoid image gallery (Courtesy of D1Med)

Fluorescent staining of human small intestine organoids

Advancing organoid culture: Innovative solutions for precision tissue engineering

Image Credit: D1Med

Overview and resources

Organoid technology has progressed at an accelerated rate since Hans Clevers first cultured intestinal organoids with crypt-villus structures in vitro in 2009. As of 2023, scientists have been able to fabricate a wide rage of normal and tumor organoids, including brain, heart, intestinal, kidney, liver, lung, breast, and retinal organoids, with great success.

Recently, organoid technology has proven itself to be one of the state-of-the-art technologies at the vanguard of the biomedical field. This emerging technology is now used across an extensive range of applications in disease modeling, drug discovery and screening, cell therapy, companion diagnostics, regenerative medicine, and many more.

The organoid industry explores new opportunities

Through inclusion in and the support of the European Union Horizon 2020 (EU H2020) program, organoids have gained widespread recognition.

In December 2022, the FDA eliminated mandated animal testing requirements for new drugs, ushering in a range of possibilities for progression in organoid research and drug development.

As a worldwide market leader in life science reagents, Sino Biological has an extensive range of premium products readily available, including more than 800 cytokines, marker antibodies, ELISA kits, and antibody pairs. These products can be customized to support customers and help them navigate key steps of organoid culture, differentiation, analysis, and identification.

About Sino Biological Inc.

Sino Biological is an international reagent supplier and service provider. The company specializes in recombinant protein production and antibody development. All of Sino Biological's products are independently developed and produced, including recombinant proteins, antibodies and cDNA clones. Sino Biological is the researchers' one-stop technical services shop for the advanced technology platforms they need to make advancements. In addition, Sino Biological offer pharmaceutical companies and biotechnology firms pre-clinical production technology services for hundreds of monoclonal antibody drug candidates.

Sino Biological's core business

Sino Biological is committed to providing high-quality recombinant protein and antibody reagents and to being a one-stop technical services shop for life science researchers around the world. All of our products are independently developed and produced. In addition, we offer pharmaceutical companies and biotechnology firms pre-clinical production technology services for hundreds of monoclonal antibody drug candidates. Our product quality control indicators meet rigorous requirements for clinical use samples. It takes only a few weeks for us to produce 1 to 30 grams of purified monoclonal antibody from gene sequencing.


Sponsored Content Policy: News-Medical.net publishes articles and related content that may be derived from sources where we have existing commercial relationships, provided such content adds value to the core editorial ethos of News-Medical.Net which is to educate and inform site visitors interested in medical research, science, medical devices and treatments.

Last updated: Apr 28, 2025 at 5:51 AM

Citations

Please use one of the following formats to cite this article in your essay, paper or report:

  • APA

    Sino Biological Inc.. (2025, April 28). Advancing organoid culture: Innovative solutions for precision tissue engineering. News-Medical. Retrieved on January 17, 2026 from https://www.intakehealthlab.com/whitepaper/20240314/Advancing-Organoid-Culture-Innovative-Solutions-for-Precision-Tissue-Engineering.aspx.

  • MLA

    Sino Biological Inc.. "Advancing organoid culture: Innovative solutions for precision tissue engineering". News-Medical. 17 January 2026. <https://www.intakehealthlab.com/whitepaper/20240314/Advancing-Organoid-Culture-Innovative-Solutions-for-Precision-Tissue-Engineering.aspx>.

  • Chicago

    Sino Biological Inc.. "Advancing organoid culture: Innovative solutions for precision tissue engineering". News-Medical. https://www.intakehealthlab.com/whitepaper/20240314/Advancing-Organoid-Culture-Innovative-Solutions-for-Precision-Tissue-Engineering.aspx. (accessed January 17, 2026).

  • Harvard

    Sino Biological Inc.. 2025. Advancing organoid culture: Innovative solutions for precision tissue engineering. News-Medical, viewed 17 January 2026, https://www.intakehealthlab.com/whitepaper/20240314/Advancing-Organoid-Culture-Innovative-Solutions-for-Precision-Tissue-Engineering.aspx.

Other White Papers by this Supplier

While we only use edited and approved content for Azthena answers, it may on occasions provide incorrect responses. Please confirm any data provided with the related suppliers or authors. We do not provide medical advice, if you search for medical information you must always consult a medical professional before acting on any information provided.

Your questions, but not your email details will be shared with OpenAI and retained for 30 days in accordance with their privacy principles.

Please do not ask questions that use sensitive or confidential information.

Read the full Terms & Conditions.