Drug resistant gonorrhea discovered

Japanese scientists have found a superbug strain of gonorrhea that’s resistant to all available antibiotics. This can pose a threat to public health worldwide, infectious disease experts say.

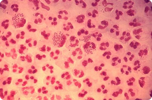
This photomicrograph reveals the histopathology in an acute case of gonococcal urethritis using Gram-stain technique.The international team identified the highly drug-resistant strain of Neisseria gonorrhoeae — the bacterium that causes the sexually transmitted infection — through genetic analysis. Gonorrhea is one of the most common STIs in the world and can cause infertility, increase HIV transmission, and has profound effects on infants born to infected mothers, including blindness. Left untreated, the disease can be fatal. The strain is called H041 and has extreme resistance to all cephalosporin-class antibiotics, the last remaining drugs still effective in treating gonorrhea.

Dr. Magnus Unemo of the Swedish Reference Laboratory for Pathogenic Neisseria, said in a statement who was part of the study said, “This is both an alarming and a predictable discovery. Since antibiotics became the standard treatment for gonorrhea in the 1940s, this bacterium has shown a remarkable capacity to develop resistance mechanisms to all drugs introduced to control it. While it is still too early to assess if this new strain has become widespread, the history of newly emergent resistance in the bacterium suggests that it may spread rapidly unless new drugs and effective treatment programs are developed.” Unemo presented the team’s findings Monday at the International Society for Sexually Transmitted Disease Research meeting in Quebec City.

“Why this is so concerning is that there are no other treatment options besides cephalosporins right now,”" Dr. Kimberly Workowski, an associate professor of medicine at Emory University said. A spokesman for the Public Health Agency of Canada said the federal agency is not aware of any cases of H041 strain in this country.

Dr. Vanessa Allen, a medical microbiologist at the Ontario Agency for Health Protection and Promotion added that this not surprising because the infectious agent is known to exchange genetic material with other organisms in the genital tract, which helps confer resistance. “And, in fact, we’re now on the fifth or six class of antimicrobials,” Allen said Monday from Quebec City, where she was attending the conference. With no alternative drugs in the pharmaceutical pipeline, “the concern is that we’ll go to potentially an era where it will be like the pre-antibiotic era,” she said. “So people again will see consequences of chronic gonorrhea infection that are associated with neonatal infections, infertility and those things.” For now, treatment should include cephalosporins and the antibiotic azithromycin, while the CDC and National Institutes of Health work on new drugs.

Dr. Ananya Mandal

Written by

Dr. Ananya Mandal

Dr. Ananya Mandal is a doctor by profession, lecturer by vocation and a medical writer by passion. She specialized in Clinical Pharmacology after her bachelor's (MBBS). For her, health communication is not just writing complicated reviews for professionals but making medical knowledge understandable and available to the general public as well.

Citations

Please use one of the following formats to cite this article in your essay, paper or report:

  • APA

    Mandal, Ananya. (2018, August 23). Drug resistant gonorrhea discovered. News-Medical. Retrieved on January 29, 2026 from https://www.intakehealthlab.com/news/20110711/Drug-resistant-gonorrhea-discovered.aspx.

  • MLA

    Mandal, Ananya. "Drug resistant gonorrhea discovered". News-Medical. 29 January 2026. <https://www.intakehealthlab.com/news/20110711/Drug-resistant-gonorrhea-discovered.aspx>.

  • Chicago

    Mandal, Ananya. "Drug resistant gonorrhea discovered". News-Medical. https://www.intakehealthlab.com/news/20110711/Drug-resistant-gonorrhea-discovered.aspx. (accessed January 29, 2026).

  • Harvard

    Mandal, Ananya. 2018. Drug resistant gonorrhea discovered. News-Medical, viewed 29 January 2026, https://www.intakehealthlab.com/news/20110711/Drug-resistant-gonorrhea-discovered.aspx.

Comments

The opinions expressed here are the views of the writer and do not necessarily reflect the views and opinions of News Medical.
Post a new comment
Post

Sign in to keep reading

We're committed to providing free access to quality science. By registering and providing insight into your preferences you're joining a community of over 1m science interested individuals and help us to provide you with insightful content whilst keeping our service free.

or

While we only use edited and approved content for Azthena answers, it may on occasions provide incorrect responses. Please confirm any data provided with the related suppliers or authors. We do not provide medical advice, if you search for medical information you must always consult a medical professional before acting on any information provided.

Your questions, but not your email details will be shared with OpenAI and retained for 30 days in accordance with their privacy principles.

Please do not ask questions that use sensitive or confidential information.

Read the full Terms & Conditions.

You might also like...
Super agers' resilience against Alzheimer's disease linked to protective gene variant