Could urine tests predict kidney injury and mortality in COVID-19?

A team of scientists from the Columbia University, New York, has recently identified a potential biomarker to predict acute kidney injury in coronavirus disease 2019 (COVID-19) patients. By analyzing urine samples of 444 COVID-19 patients, they have revealed that the urinary level of neutrophil gelatinase-associated lipocalin (NGAL) can be used to determine the severity and duration of acute kidney and tubular injuries, as well as to predict the risk of mortality in acute COVID-19 patients. The study is currently available on the medRxiv* preprint server.

Study: Urine test predicts kidney injury and death in COVID-19. Image Credit: Explode / Shutterstock
Study: Urine test predicts kidney injury and death in COVID-19. Image Credit: Explode / Shutterstock

This news article was a review of a preliminary scientific report that had not undergone peer-review at the time of publication. Since its initial publication, the scientific report has now been peer reviewed and accepted for publication in a Scientific Journal. Links to the preliminary and peer-reviewed reports are available in the Sources section at the bottom of this article. View Sources

Background

Elevated serum level of creatinine is a commonly used marker to predict acute kidney function loss in patients infected with severe acute respiratory syndrome coronavirus 2 (SARS-CoV-2). However, it is not a reliable maker to diagnose subtotal kidney damage or kidney injuries in the early stages. Moreover, the anatomical and physiological causes of kidney function loss cannot be predicted by serum creatinine levels.

According to the literature, urinary NGAL and kidney injury marker-1 (KIM-1) are two sensitive markers for detecting kidney and tubular injuries. Since these two molecules are derived from different segments of the kidney, they can accurately differentiate between volume depletion and acute tubular injury in real-time.

Given these observations, the scientists from the Columbia University have investigated whether urinary levels of NGAL and KIM-1 can detect acute kidney and tubular injuries in COVID-19 patients, as well as predict the clinical consequences of the disease.

Study design

The scientists collected urine and blood samples from 444 patients who tested positive for SARS-CoV-2 via reverse transcription-polymerase chain reaction (RT-PCR). The samples were collected immediately after hospital admission and within 1 day of a positive viral test in 70% of patients.

In the urine samples, NGAL, KIM-1, and proteinuria were measured, and the levels were correlated with the clinical data. The baseline serum creatinine was determined for each patient by assessing previously available data. A more than 50% increase in serum creatinine from the baseline was interpreted as a loss of kidney excretory function (acute kidney injury).

The stages of acute kidney injury were determined using serum creatinine kinetics. From the baseline, 1.5 to 2-fold, 2 to 3-fold, and more than 3-fold increase in serum creatinine levels were considered as stage 1, stage 2, and stage 3 acute kidney injury, respectively.      

Important observations

At admission, the COVID-19 patients with acute kidney injury or sustained acute kidney injury exhibited significantly higher urinary levels of NGAL compared to those without kidney injury. A positive correlation was also observed between the NGAL levels and increasing stages of acute kidney injury. Specifically, the analysis revealed that NGAL had 80% specificity and 75% sensitivity to diagnose higher stages of acute kidney injury.

Furthermore, urinary NGAL as a predictive marker for acute kidney injury was independent of the patient’s age, sex, ethnicity, baseline creatinine level, proteinuria, and pre-existing health conditions.

Regarding clinical consequences of COVID-19, urinary NGAL quantitatively predicted the risk of in-hospital mortality, duration of hospital stay, shock, and acute dialysis. Per standard deviation of NGAL, the risk of death increased by 73% in COVID-19 patients. Specifically, in patients with the highest urinary NGAL, about 25% mortality was observed within 20 days of hospital admission. This risk prediction was independent of the patient’s demographic features, comorbidities, proteinuria, and baseline creatinine level.

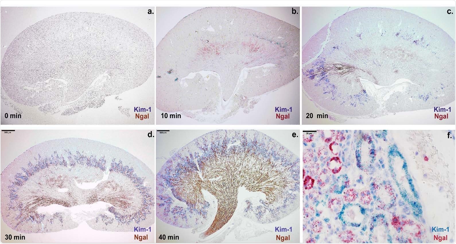
The expression level of Ngal (red-brown) and Kim-1 (blue-purple) depended on the dose of arterial ischemia in mouse: (a-e) Ngal expression was found at the cortico-medullary junction after 10min of ischemia, but throughout the medulla and papilla after 30-40min of ischemia. Kim-1 expression was found in the cortex and throughout the cortico-medullary junction. (e-f) Prolonged ischemia (40min) broadened the expression domain of Ngal to include the proximal tubule marked by Kim-1. In contrast to Ngal, Kim-1 expression remained localized to the cortex and cortico-medullary junction. Bars a-e: 500μm; Bars f: 20μm.
The expression level of Ngal (red-brown) and Kim-1 (blue-purple) depended on the dose of arterial ischemia in mouse: (a-e) Ngal expression was found at the cortico-medullary junction after 10min of ischemia, but throughout the medulla and papilla after 30-40min of ischemia. Kim-1 expression was found in the cortex and throughout the cortico-medullary junction. (e-f) Prolonged ischemia (40min) broadened the expression domain of Ngal to include the proximal tubule marked by Kim-1. In contrast to Ngal, Kim-1 expression remained localized to the cortex and cortico-medullary junction. Bars a-e: 500μm; Bars f: 20μm.

Unlike urinary NGAL, the levels of urinary KIM-1 failed to significantly detect the duration and severity of acute kidney injury and predict the clinical outcomes in COVID-19 patients.

In a separate set of examinations on 13 COVID-19 patients and 4 non-COVID patients with acute tubular injury, the transcriptomic analysis of NGAL and KIM-1 was conducted in different segments of the nephron. The findings revealed that in both COVID and non-COVID patients, KIM-1 and NGAL were predominantly expressed in the proximal tubule and in the limbs of Henle and collecting ducts, respectively.

In COVID-19 patients with maximum acute kidney injury, KIM-1 and NGAL were expressed in 27% and 66% of tubules, respectively, indicating a widespread distribution of NGAL compared to KIM-1. Moreover, an extensive co-expression of NGAL with KIM-1 was observed in the proximal tubule. Importantly, a significant correlation was observed between the NGAL – KIM-1 co-expression and degree of acute kidney injury.

To further investigate the NGAL distribution, the expression of NGAL at the RNA level was determined in mice with renal ischemia reperfusion injury. The NGAL RNA was found to express in the cortico-medullary junction, medulla, and papilla. Moreover, an overlap between NGAL and KIM-1 was observed in the proximal tubule.

Study significance

The study identifies urinary NGAL as a potential marker for determining the duration and severity of acute kidney injury, as well as predicting clinical outcomes in COVID-19 patients.

This news article was a review of a preliminary scientific report that had not undergone peer-review at the time of publication. Since its initial publication, the scientific report has now been peer reviewed and accepted for publication in a Scientific Journal. Links to the preliminary and peer-reviewed reports are available in the Sources section at the bottom of this article. View Sources

Journal references:

Article Revisions

  • Apr 10 2023 - The preprint preliminary research paper that this article was based upon was accepted for publication in a peer-reviewed Scientific Journal. This article was edited accordingly to include a link to the final peer-reviewed paper, now shown in the sources section.
Dr. Sanchari Sinha Dutta

Written by

Dr. Sanchari Sinha Dutta

Dr. Sanchari Sinha Dutta is a science communicator who believes in spreading the power of science in every corner of the world. She has a Bachelor of Science (B.Sc.) degree and a Master's of Science (M.Sc.) in biology and human physiology. Following her Master's degree, Sanchari went on to study a Ph.D. in human physiology. She has authored more than 10 original research articles, all of which have been published in world renowned international journals.

Citations

Please use one of the following formats to cite this article in your essay, paper or report:

  • APA

    Dutta, Sanchari Sinha Dutta. (2023, April 10). Could urine tests predict kidney injury and mortality in COVID-19?. News-Medical. Retrieved on January 19, 2026 from https://www.intakehealthlab.com/news/20210615/Could-urine-tests-predict-kidney-injury-and-mortality-in-COVID-19.aspx.

  • MLA

    Dutta, Sanchari Sinha Dutta. "Could urine tests predict kidney injury and mortality in COVID-19?". News-Medical. 19 January 2026. <https://www.intakehealthlab.com/news/20210615/Could-urine-tests-predict-kidney-injury-and-mortality-in-COVID-19.aspx>.

  • Chicago

    Dutta, Sanchari Sinha Dutta. "Could urine tests predict kidney injury and mortality in COVID-19?". News-Medical. https://www.intakehealthlab.com/news/20210615/Could-urine-tests-predict-kidney-injury-and-mortality-in-COVID-19.aspx. (accessed January 19, 2026).

  • Harvard

    Dutta, Sanchari Sinha Dutta. 2023. Could urine tests predict kidney injury and mortality in COVID-19?. News-Medical, viewed 19 January 2026, https://www.intakehealthlab.com/news/20210615/Could-urine-tests-predict-kidney-injury-and-mortality-in-COVID-19.aspx.

Comments

The opinions expressed here are the views of the writer and do not necessarily reflect the views and opinions of News Medical.
Post a new comment
Post

Sign in to keep reading

We're committed to providing free access to quality science. By registering and providing insight into your preferences you're joining a community of over 1m science interested individuals and help us to provide you with insightful content whilst keeping our service free.

or

While we only use edited and approved content for Azthena answers, it may on occasions provide incorrect responses. Please confirm any data provided with the related suppliers or authors. We do not provide medical advice, if you search for medical information you must always consult a medical professional before acting on any information provided.

Your questions, but not your email details will be shared with OpenAI and retained for 30 days in accordance with their privacy principles.

Please do not ask questions that use sensitive or confidential information.

Read the full Terms & Conditions.

You might also like...
AI trained on sleep data predicts future disease and mortality years in advance